Monoclonal Antibody to Androgen Receptor (Marker of Androgen Dependence)(AR441 + DHTR/882)

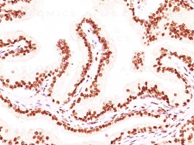
Formalin-fixed, paraffin-embedded human Prostate Carcinoma stained with Androgen Receptor Monoclonal Antibody (AR441 + DHTR/882).
Roll over image to zoom in
Shipping Info:
For estimated delivery dates, please contact us at [email protected]
Format : | Purified |
Amount : | 100 µg |
Isotype : | Mouse IgG1, kappa + Mouse IgG1, kappa |
Purification : | Affinity Chromatography |
Content : | 100 µg in 500 µl PBS containing 0.05% BSA and 0.05% sodium azide. Sodium azide is highly toxic. |
Storage condition : | Store the antibody at 4°C; stable for 6 months. For long-term storage; store at -20°C. Avoid repeated freeze and thaw cycles. |
Immunohistochemistry (Formalin-fixed) (1-2ug/ml for 30 minutes at RT)(Staining of formalin-fixed tissues requires heating tissue sections in 1mM EDTA buffer, pH 7.5-8.5, for 45 min at 95°C followed by cooling at RT for 20 minutes)
For Research Use Only. Not for use in diagnostic/therapeutics procedures.
Subcellular location: | Nucleus, Cytoplasm |
Post transnational modification: | Palmitoylated by ZDHHC7 and ZDHHC21. Palmitoylation is required for plasma membrane targeting and for rapid intracellular signaling via ERK and AKT kinases and cAMP generation. |
Tissue Specificity: | Isoform 2 is mainly expressed in heart and skeletal muscle (PubMed:15634333). Isoform 3 is expressed by basal and stromal cells of prostate (at protein level) (PubMed:19244107). |
BioGrid: | 106862. 284 interactions. |
There are currently no product reviews
|