Anti-Insulin Monoclonal Antibody (Clone: K36AC10)

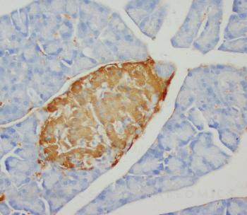
Figure 1: Anti-Insulin monoclonal antibody(39-1045). IHC(P): Rat Pancreas Tissue.
Roll over image to zoom in
Shipping Info:
For estimated delivery dates, please contact us at [email protected]
Amount : | 100 μg/vial |
Isotype : | Mouse IgG1 |
Purification : | Ascites |
Content : | Mouse ascites fluid, 1.2% sodium acetate, 2mg BSA, with 0.01mg NaN3 as preservative. Reconstitute : Add 1ml of PBS buffer will yield a concentration of 100ug/ml. |
Storage condition : | At -20˚C for one year. After reconstitution, at 4˚C for one month. It can also be aliquotted and stored frozen at -20˚C for a longer time. Avoid repeated freezing and thawing. |
Insulin, synthesized by the beta cells of the islets of Langerhans, consists of 2 dissimilar polypeptide chains, A and B, which are linked by 2 disulfide bonds. The insulin gene contains 3 exons and 2 introns; exon 2 encodes the signal peptide, the B chain, and part of the C peptide, while exon 3 encodes the remainder of the C peptide and the A chain. Localization of the human insulin gene to the distal end of the short arm of chromosome 11. Harper et al.(1981) and Harper and Saunders(1981) assigned the insulin gene to 11p15.5 by in situ hybridization.
Immunohistochemistry(Paraffin-embedded Section) : 0.4-1μg/ml
For Research Use Only. Not for use in diagnostic/therapeutics procedures.
Subcellular location: | Secreted |
BioGrid: | 246665. 1 interactions. |
There are currently no product reviews
|