Anti-S-100 (beta-subunit) Monoclonal Antibody (Clone: SH-B1)

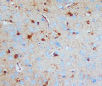
Figure 1: Anti-S-100(beta-subunit) antibody(monoclonal) 39-1050. IHC(P): Rat Brain Tissue Lysate.
Roll over image to zoom in
Shipping Info:
For estimated delivery dates, please contact us at [email protected]
Amount : | 100 μg/vial |
Isotype : | Mouse IgG1 |
Purification : | Ascites |
Content : | Mouse ascites fluid, 1.2% sodium acetate, 2mg BSA, with 0.01mg NaN3 as preservative. Reconstitute : Add 1ml of PBS buffer will yield a concentration of 100ug/ml. |
Storage condition : | At -20˚C for one year. After reconstitution, at 4˚C for one month. It can also be aliquotted and stored frozen at -20˚C for a longer time. Avoid repeated freezing and thawing. |
S100 protein is a 21,000-Da component first isolated from brain by Moore(1965). Immunocytochemical studies demonstrated that S100 protein is produced by a wide variety of normal and neoplastic cells of mesodermal, neuroectodermal, and epithelial origin(Herrera et al., 1988). The S100 molecule is a dimer; thus there are 3 forms of S100: alpha-alpha, known as S-100a(0); alpha-beta, known as S-100a; and beta-beta, known as S-100b. S100 genes are clustered on human chromosome 1q21. S-100 protein expression by primary and metastatic adenocarcinomas.
Immunohistochemistry(Paraffin-embedded Section) : 1-2μg/ml
For Research Use Only. Not for use in diagnostic/therapeutics procedures.
Subcellular location: | Cytoplasm, Nucleus |
Tissue Specificity: | Although predominant among the water-soluble brain proteins, S100 is also found in a variety of other tissues. |
BioGrid: | 247770. 2 interactions. |
There are currently no product reviews
|