Monoclonal Antibody to CD6(Clone : 3F7B5)
 
		
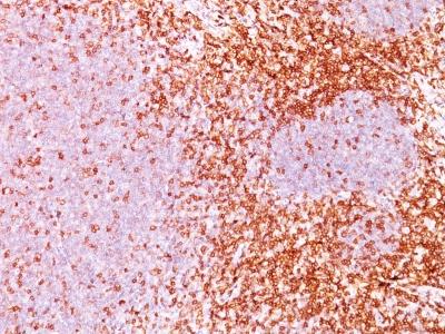
			Formalin-fixed, paraffin-embedded human Tonsil stained with CD6 Monoclonal Antibody (3F7B5).
Roll over image to zoom in
Shipping Info:
For estimated delivery dates, please contact us at [email protected]
| Format : | Purified | 
| Amount : | 100 µg | 
| Isotype : | Mouse IgG1, kappa | 
| Purification : | Affinity Chromatography | 
| Content : | 100 µg in 500 µl PBS containing 0.05% BSA and 0.05% sodium azide. Sodium azide is highly toxic. | 
| Storage condition : | Store the antibody at 4°C; stable for 6 months. For long-term storage; store at -20°C. Avoid repeated freeze and thaw cycles. | 
Flow Cytometry (1-2ug/million cells); Immunofluorescence (1-2ug/ml); ,Immunohistochemistry (Formalin-fixed) (1-2ug/ml for 30 minutes at RT),(Staining of formalin-fixed tissues requires heating tissue sections in 10mM Tris with 1mM EDTA, pH 9.0, for 45 min at 95°C followed by cooling at RT for 20 minutes);
For Research Use Only. Not for use in diagnostic/therapeutics procedures.
| Subcellular location: | Secreted | 
| Post transnational modification: | Glycosylated. | 
| Tissue Specificity: | Detected on thymocytes (PubMed:15294938). Detected on peripheral blood T-cells (PubMed:15048703, PubMed:16352806). Detected on natural killer (NK) cells (PubMed:16352806). Soluble CD6 is detected in blood serum (at protein level) (PubMed:17601777). Detected in spleen, thymus, appendix, lymph node and peripheral blood leukocytes (PubMed:9013954). Expressed by thymocytes, mature T-cells, a subset of B-cells known as B-1 cells, and by some cells in the brain. | 
| BioGrid: | 107361. 6 interactions. | 
| 
                    	There are currently no product reviews | 














.png)







 
					



