Monoclonal Antibody to Cdc20 (Cell Division Cycle Protein 20)(Clone : CDC20/1102)

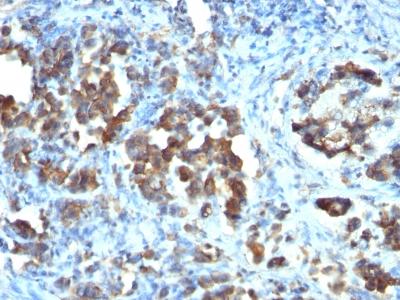
Formalin-fixed, paraffin-embedded human Gastric Carcinoma stained with CDC20 Monoclonal Antibody (CDC20/1102)
Roll over image to zoom in
Shipping Info:
For estimated delivery dates, please contact us at [email protected]
Format : | Purified |
Amount : | 100 µg |
Isotype : | Mouse IgG1, kappa |
Purification : | Affinity Chromatography |
Content : | 100 µg in 500 µl PBS containing 0.05% BSA and 0.05% sodium azide. Sodium azide is highly toxic. |
Storage condition : | Store the antibody at 4°C; stable for 6 months. For long-term storage; store at -20°C. Avoid repeated freeze and thaw cycles. |
Immunohistochemistry (Formalin-fixed) (2-4ug/ml for 30 minutes at RT)(Staining of formalin-fixed tissues requires heating tissue sections in 10mM Tris with 1mM EDTA, pH 9.0, for 45 min at 95°C followed by cooling at RT for 20 minutes);
For Research Use Only. Not for use in diagnostic/therapeutics procedures.
Subcellular location: | Cytoplasm, Cytoplasm |
Post transnational modification: | Ubiquitinated and degraded by the proteasome during spindle assembly checkpoint. Deubiquitinated by USP44, leading to stabilize the MAD2L1-CDC20-APC/C ternary complex, thereby preventing premature activation of the APC/C. Ubiquitinated at Lys-490 during prometaphase. Ubiquitination at Lys-485 and Lys-490 has no effect on its ability to bind the APC/C complex. |
BioGrid: | 107427. 173 interactions. |
There are currently no product reviews
|