Monoclonal Antibody to CPS1 / Carbamoyl-Phosphate Synthetase (Hepatocellular Marker)(Clone : CPS1/1022)

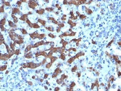
Formalin-fixed, paraffin-embedded human Hepatocellular Carcinoma stained with CPS1 Monoclonal Antibody (CPS1/1022).
Roll over image to zoom in
Shipping Info:
For estimated delivery dates, please contact us at [email protected]
Format : | Purified |
Amount : | 100 µg |
Isotype : | Mouse IgG1, kappa |
Purification : | Affinity Chromatography |
Content : | 100 µg in 500 µl PBS containing 0.05% BSA and 0.05% sodium azide. Sodium azide is highly toxic. |
Storage condition : | Store the antibody at 4°C; stable for 6 months. For long-term storage; store at -20°C. Avoid repeated freeze and thaw cycles. |
Immunohistochemistry (Formalin-fixed) (1-2ug/ml for 30 minutes at RT)(Staining of formalin-fixed tissues requires heating tissue sections in 10mM Tris with 1mM EDTA, pH 9.0, for 45 min at 95°C followed by cooling at RT for 20 minutes);
For Research Use Only. Not for use in diagnostic/therapeutics procedures.
Subcellular location: | Mitochondrion, Nucleus |
Post transnational modification: | Glutarylated. Glutarylation levels increase during fasting. Deglutarylated by SIRT5 at Lys-55, Lys-219, Lys-412, Lys-889, Lys-892, Lys-915, Lys-1360 and Lys-1486, leading to activation. |
Tissue Specificity: | Primarily in the liver and small intestine. |
BioGrid: | 107764. 66 interactions. |
There are currently no product reviews
|