Anti-Biotin (Vitamin B7 or Vitamin H) Monoclonal Antibody(Clone: BTN/2032R)

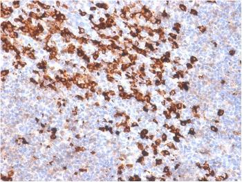
Fig. 1: Formalin-fixed, paraffin-embedded Tonsil stained with biotinylated Kappa Light Chain probe followed by anti-biotin Rabbit Recombinant Monoclonal antibody (BTN/2032R).
Roll over image to zoom in
Shipping Info:
For estimated delivery dates, please contact us at [email protected]
Amount : | 100 µg |
Isotype : | Rabbit IgG |
Content : | 200 µg/ml of Ab Purified by Protein A Column. Prepared in 10mM PBS with 0.05% BSA & 0.05% azide. Also available WITHOUT BSA & azide at 1.0mg/ml. |
Storage condition : | Antibody with azide - store at 2 to 8°C. Antibody without azide - store at -20 to -80°C. Antibody is stable for 24 months. Non-hazardous. |
Alternative Name : | Vitamin B7 or Vitamin H |
Immunogen Information : | Biotinylated sheep immunoglobulin |
In situ Nucleic Acid Hybridization; Immunohistochemistry (Formalin-fixed) (1-2ug/ml for 30 minutes at RT) (No special pretreatment is required for the immunohistochemical staining of formalin-fixed, paraffin-embedded tissues.)
For Research Use Only. Not for use in diagnostic/therapeutics procedures.
There are currently no product reviews
|