Monoclonal Antibody to Cytokeratin 8 (KRT8)(Clone : KRT8/899)(Discontinued)
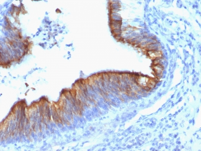
Formalin-fixed, paraffin-embedded human Lung Carcinoma stained with Cytokeratin 8 Monoclonal Antibody (KRT8/899).
Roll over image to zoom in
Shipping Info:
For estimated delivery dates, please contact us at [email protected]
| Format : | Purified |
| Amount : | 100 µg |
| Isotype : | Mouse IgM |
| Purification : | Affinity Chromatography |
| Content : | 100 µg in 500 µl PBS containing 0.05% BSA and 0.05% sodium azide. Sodium azide is highly toxic. |
| Storage condition : | Store the antibody at 4°C; stable for 6 months. For long-term storage; store at -20°C. Avoid repeated freeze and thaw cycles. |
Flow Cytometry (0.5-1µg/million cells in 0.1ml); Immunofluorescence (1-2µg/ml); Immunohistology (Formalin-fixed) (0.5-1.0µg/ml for 30 min at RT); (Staining of formalin-fixed tissues requires boiling tissue sections in 10mM Citrate Buffer, pH 6.0, for 10-20 min followed by cooling at RT for 20 minutes); Optimal dilution for a specific application should be determined.
For Research Use Only. Not for use in diagnostic/therapeutics procedures.
| Subcellular location: | Cytoplasm, Nucleus, Nucleus matrix |
| Post transnational modification: | O-glycosylated (O-GlcNAcylated), in a cell cycle-dependent manner. |
| Tissue Specificity: | Observed in muscle fibers accumulating in the costameres of myoplasm at the sarcolemma membrane in structures that contain dystrophin and spectrin. Expressed in gingival mucosa and hard palate of the oral cavity. |
| BioGrid: | 110054. 69 interactions. |
|
There are currently no product reviews
|






















.png)














