Monoclonal Antibody to Kappa (Clone: L1C1)

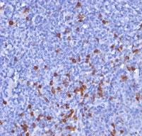
Figure-1: Immunohistochemical analysis of kappa in human tonsil using kappa antibody (Clone: L1C1) at 1:400 dilution.
Roll over image to zoom in
Shipping Info:
For estimated delivery dates, please contact us at [email protected]
Format : | Purified |
Amount : | 100 µg |
Isotype : | Mouse IgG1, kappa |
Purification : | Protein G Chromatography |
Content : | 25 µg in 50 µl/100 µg in 200 µl PBS containing 0.05% BSA and 0.05% sodium azide. Sodium azide is highly toxic. |
Storage condition : | Store the antibody at 4°C; stable for 6 months. For long-term storage; store at -20°C. Avoid repeated freeze and thaw cycles. |
Gene : | IGKV1D-16 |
Uniprot ID : | P01601 |
Alternative Name : | IGKV1D-16 |
Immunogen Information : | B lymphoma cells are used as immunogen for this antibody. |
The kappa light chain antibody recognizes the kappa light chain of immunoglobulin. The kappa light chain itself is one of the two small polypeptide subunits of an antibody, the other being lambda. Antibodies are produced by the B-cells in lymphoid tissue. Each B lymphocyte expresses either lambda or kappa light chain but never both together. Hence, the kappa light chain antibody is a useful marker for identifying B lymphocytes expressing kappa light chain.
Western Blot (1-2ug/ml), Immunohistochemistry (Formalin-fixed) (1-2ug/ml for 30 min at RT)(Staining of formalin-fixed tissues requires heating tissue sections in 10mM Tris with 1mM EDTA, pH 9.0, for 45 min at 95°C followed by cooling at RT for 20 minutes)
For Research Use Only. Not for use in diagnostic/therapeutics procedures.
Subcellular location: | Secreted, Cell membrane |
There are currently no product reviews
|