Monoclonal Antibody to MUC1 / EMA / CD227 (Epithelial Marker)(Clone : GP1.4)

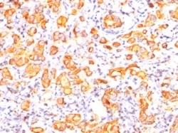
Formalin-fixed, paraffin-embedded human Breast Carcinoma stained with EMA Monoclonal Antibody (GP1.4).
Roll over image to zoom in
Shipping Info:
For estimated delivery dates, please contact us at [email protected]
Format : | Purified |
Amount : | 100 µg |
Isotype : | Mouse IgG1, kappa |
Purification : | Affinity Chromatography |
Content : | 100 µg in 500 µl PBS containing 0.05% BSA and 0.05% sodium azide. Sodium azide is highly toxic. |
Storage condition : | Store the antibody at 4°C; stable for 6 months. For long-term storage; store at -20°C. Avoid repeated freeze and thaw cycles. |
Western Blot (1-2ug/ml); ,Immunohistology (Formalin-fixed) (0.5-1.0ug/ml for 30 min at RT),(Staining of formalin-fixed tissues requires boiling tissue sections in 10mM citrate buffer, pH 6.0, for 10-20 min followed by cooling at RT for 20 minutes),
For Research Use Only. Not for use in diagnostic/therapeutics procedures.
Subcellular location: | Cell membrane, Cytoplasm, Nucleus |
Post transnational modification: | The N-terminal sequence has been shown to begin at position 24 or 28. |
Tissue Specificity: | Expressed on the apical surface of epithelial cells, especially of airway passages, breast and uterus. Also expressed in activated and unactivated T-cells. Overexpressed in epithelial tumors, such as breast or ovarian cancer and also in non-epithelial tumor cells. Isoform Y is expressed in tumor cells only. |
BioGrid: | 110669. 44 interactions. |
There are currently no product reviews
|