Polyclonal Antibody to PI3 Kinase p85/p55(Ab-467/199)

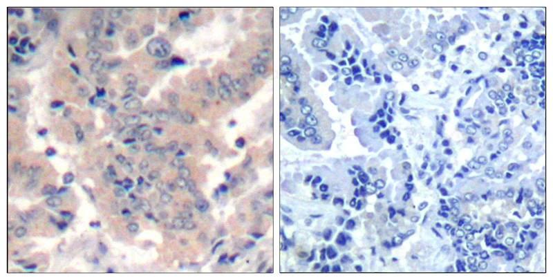
Figure 1: Immunohistochemical analysis of paraffin-embedded human lung carcinoma tissue using PI3K P85 a/g/b(Ab-467/199/464) Antibody 35-1725 (left) or the same antibody preincubated with blocking peptide(right).
Roll over image to zoom in
Shipping Info:
For estimated delivery dates, please contact us at [email protected]
Format : | Purified |
Amount : | 100 µl |
Isotype : | Rabbit IgG |
Content : | Supplied at 1.0mg/mL in phosphate buffered saline (without Mg2+ and Ca2+), pH 7.4, 150mM NaCl, 0.02% sodium azide and 50% glycerol. |
Storage condition : | Store the antibody at 4°C, stable for 6 months. For long-term storage, store at -20°C. Avoid repeated freeze and thaw cycles. |
Gene : | PIK3R1 |
Gene ID : | 5295 |
Uniprot ID : | P27986 /Q92569 |
Alternative Name : | p85, AGM7, p85-ALPHA, p55, p55-GAMMA |
Immunogen Information : | Peptide sequence around aa.465~469(L-Y-E-E-Y) derived from Human PI3 Kinase p85/p55. |
PI3K binds to activated (phosphorylated) protein-Tyr kinases, through its SH2 domain, and acts as an adapter, mediating the association of the p110 catalytic unit to the plasma membrane. Necessary for the insulin-stimulated increase in glucose uptake and glycogen synthesis in insulin-sensitive tissues.
Stoyanov, B. et al. (1995) Science 269, 690-3.
Simpson, L. and Parsons, R. (2001) Exp Cell Res 264, 29-41.
Neri, L.M. et al. (2002) Biochim Biophys Acta 1584, 73-80.
Predicted MW: 55, 85kd, Immunohistochemistry: 1:50~1:100
For Research Use Only. Not for use in diagnostic/therapeutics procedures.
There are currently no product reviews
|