Monoclonal Antibody to Myeloid Cell Marker (Macrophage / Granulocyte Marker)(Clone : BM-1)

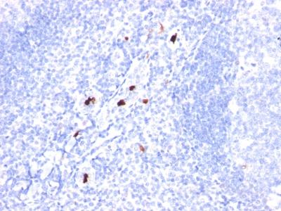
Formalin-fixed, paraffin-embedded human Tonsil stained with Myeloid Specific Monoclonal Antibody (BM-1).
Roll over image to zoom in
Shipping Info:
For estimated delivery dates, please contact us at [email protected]
Format : | Purified |
Amount : | 100 µg |
Isotype : | Mouse IgG1, kappa |
Purification : | Affinity Chromatography |
Content : | 100 µg in 500 µl PBS containing 0.05% BSA and 0.05% sodium azide. Sodium azide is highly toxic. |
Storage condition : | Store the antibody at 4°C; stable for 6 months. For long-term storage; store at -20°C. Avoid repeated freeze and thaw cycles. |
Immunogen Information : | Human peripheral blood mononuclear cells |
Recognizes 183kDa protein with DNA-binding characteristics, which is identified as a myeloid specific antigen. It reacts with myeloid precursor cells and granulocytes in bone marrow. Its antigen appears to be restricted to M2 and M3 acute myelogenous leukemia (AML) subtypes. Markers of myeloid cells are useful in the identification of different levels of cellular differentiation. This MAb reacts with early precursor and mature forms of human myeloid cells. It is useful in the identification of myelogenous leukemias, distinguishing granulocytic sarcomas from lymphoid malignancies and also in the study of differentiation and transformation of human myeloid cells. The biological function of this antigen is not clear, although it has been proposed that it may play a role in the differentiation of myeloid cells.
Flow Cytometry (1-2ug/million cells); Immunofluorescence (1-2ug/ml); Immunohistochemistry (Formalin-fixed) (1-2ug/ml for 30 minutes at RT) (No special pretreatment is required for staining of formalin/paraffin tissues.)
For Research Use Only. Not for use in diagnostic/therapeutics procedures.
There are currently no product reviews
|