Monoclonal Antibody to p27Kip1 (Mitotic Inhibitor/Suppressor Protein)(Clone : SX53G8)

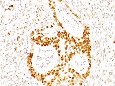
Formalin-fixed, paraffin-embedded human Colon Carcinoma stained with p27 Monoclonal Antibody (SX53G8)
Roll over image to zoom in
Shipping Info:
For estimated delivery dates, please contact us at [email protected]
Format : | Purified |
Amount : | 100 µg |
Isotype : | Mouse IgG1, kappa |
Purification : | Affinity Chromatography |
Content : | 100 µg in 500 µl PBS containing 0.05% BSA and 0.05% sodium azide. Sodium azide is highly toxic. |
Storage condition : | Store the antibody at 4°C; stable for 6 months. For long-term storage; store at -20°C. Avoid repeated freeze and thaw cycles. |
Flow Cytometry (1-2ug/million cells); Immunofluorescence (1-2ug/ml); Immunohistochemistry (Formalin-fixed) (0.25-0.5ug/ml for 30 minutes at RT)(Staining of formalin-fixed tissues requires heating tissue sections in 10mM Tris with 1mM EDTA, pH 9.0, for 45 min at 95°C followed by cooling at RT for 20 minutes);
For Research Use Only. Not for use in diagnostic/therapeutics procedures.
Subcellular location: | Nucleus, Cytoplasm, Endosome |
Post transnational modification: | Subject to degradation in the lysosome. Interaction with SNX6 promotes lysosomal degradation (By similarity). |
Tissue Specificity: | Expressed in all tissues tested. Highest levels in skeletal muscle, lowest in liver and kidney. |
BioGrid: | 107461. 94 interactions. |
There are currently no product reviews
|