Monoclonal Antibody to p57Kip2 (Mitotic Inhibitor/Suppressor Protein)(Clone : KP10)

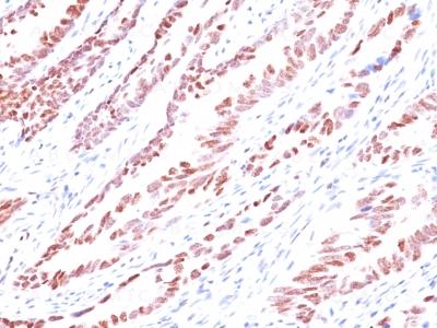
Formalin-fixed, paraffin-embedded human Colon Carcinoma stained with p57 Monoclonal Antibody (KP10).
Roll over image to zoom in
Shipping Info:
For estimated delivery dates, please contact us at [email protected]
Format : | Purified |
Amount : | 100 µg |
Isotype : | Mouse IgG2b, kappa |
Purification : | Affinity Chromatography |
Content : | 100 µg in 500 µl PBS containing 0.05% BSA and 0.05% sodium azide. Sodium azide is highly toxic. |
Storage condition : | Store the antibody at 4°C; stable for 6 months. For long-term storage; store at -20°C. Avoid repeated freeze and thaw cycles. |
Immunohistochemistry (Formalin-fixed) (1-2ug/ml for 30 min at RT)(Staining of formalin-fixed tissues requires heating tissue sections in 10mM Tris with 1mM EDTA, pH 9.0, for 45 min at 95°C followed by cooling at RT for 20 minutes);
For Research Use Only. Not for use in diagnostic/therapeutics procedures.
Subcellular location: | Nucleus |
Tissue Specificity: | Expressed in the heart, brain, lung, skeletal muscle, kidney, pancreas and testis. Expressed in the eye. High levels are seen in the placenta while low levels are seen in the liver. |
BioGrid: | 107462. 21 interactions. |
There are currently no product reviews
|