Monoclonal Antibody to Parathyroid Hormone (Clone: ABM4D44)

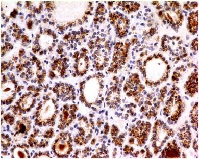
Figure-1: Immunohistochemical analysis of Parathyroid Hormone in human parathyroid tissue using Parathyroid Hormone antibody (Clone: ABM4D44) at 5 µg/ml.
Roll over image to zoom in
Shipping Info:
Order now and get it on Thursday October 16, 2025
Same day delivery FREE on San Diego area orders placed by 1.00 PM
Format : | Purified |
Amount : | 100 µg |
Isotype : | Mouse IgG2b Kappa |
Purification : | Protein G Chromatography |
Content : | 25 µg in 50 µl/100 µg in 200 µl PBS containing 0.05% BSA and 0.05% sodium azide. Sodium azide is highly toxic. |
Storage condition : | Store the antibody at 4°C, stable for 6 months. For long-term storage, store at -20°C. Avoid repeated freeze and thaw cycles. |
Parathyroid hormone (PTH) produced and secreted by parathyroid glands, maintains mineral homeostasis by regulating calcium and phosphate absorption/reabsorption. It modulates phosphate homeostasis by downregulating Dentin matrix acidic phosphoprotein 1(DMP1) expression via the cAMP/PKA pathway targeting genes/proteins mutually governed by PTH. PTH secretion is characterized by an ultradian rhythm with tonic and pulsatile components. The majority of PTH is secreted in tonic fashion. Changes in the ultradian PTH secretion are correlated with skeletal fragility in primary and secondary osteoporosis. Plasma concentrations of Zn ions levels were significantly correlated with PTH levels. PTH in serum is typical for patients with chronic kidney disease (CKD). The onset of CKD is associated with pathway changes of protein synthesis and metabolism, amino acid metabolism, energy metabolism, and steroid hormone metabolism. Parathyroid hormones are bone-forming agents that have different modes of action on the bone. Lack of PTH in the central nervous system causes Hypoparathyroidism (HPT).
Immunohistochemical analysis: 5 µg/ml
For Research Use Only. Not for use in diagnostic/therapeutics procedures.
Subcellular location: | Cell membrane |
Post transnational modification: | N-glycosylated. |
Tissue Specificity: | Expressed in most tissues. Most abundant in kidney, bone and liver. |
BioGrid: | 111717. 52 interactions. |
There are currently no product reviews
|