Monoclonal Antibody to pS2 / pNR-2 / Trefoil Factor 1 (Estrogen-Regulated Protein)(Clone : GE2; same as R47/9

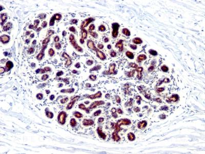
Formalin-fixed, paraffin-embedded human Breast Carcinoma stained with pS2 Monoclonal Antibody (GE2).
Roll over image to zoom in
Shipping Info:
For estimated delivery dates, please contact us at [email protected]
Format : | Purified |
Amount : | 100 µg |
Isotype : | Mouse IgG1, kappa |
Purification : | Affinity Chromatography |
Content : | 100 µg in 500 µl PBS containing 0.05% BSA and 0.05% sodium azide. Sodium azide is highly toxic. |
Storage condition : | Store the antibody at 4°C; stable for 6 months. For long-term storage; store at -20°C. Avoid repeated freeze and thaw cycles. |
Immunohistochemistry (Formalin-fixed) (1-2ug/ml for 30 minutes at RT)(Staining of formalin-fixed tissues requires heating tissue sections in 10mM Tris with 1mM EDTA, pH 9.0, for 45 min at 95°C followed by cooling at RT for 20 minutes);
For Research Use Only. Not for use in diagnostic/therapeutics procedures.
Subcellular location: | Secreted |
Tissue Specificity: | Found in stomach, with highest levels in the upper gastric mucosal cells (at protein level). Detected in goblet cells of the small and large intestine and rectum, small submucosal glands in the esophagus, mucous acini of the sublingual gland, submucosal glands of the trachea, and epithelial cells lining the exocrine pancreatic ducts but not in the remainder of the pancreas (at protein level). Scattered expression is detected in the epithelial cells of the gallbladder and submucosal glands of the vagina, and weak expression is observed in the bronchial goblet cells of the pseudostratified epithelia in the respiratory system (at protein level). Detected in urine (at protein level). Strongly expressed in breast cancer but at low levels in normal mammary tissue. It is regulated by estrogen in MCF-7 cells. Strong expression found in normal gastric mucosa and in the regenerative tissues surrounding ulcerous lesions of gastrointestinal tract, but lower expression found in gastric cancer (at protein level). |
BioGrid: | 112889. 21 interactions. |
There are currently no product reviews
|