Mouse Monoclonal Antibody to Melanoma, Pan(Clone: HMB45+A103+T311)(Discontinued)

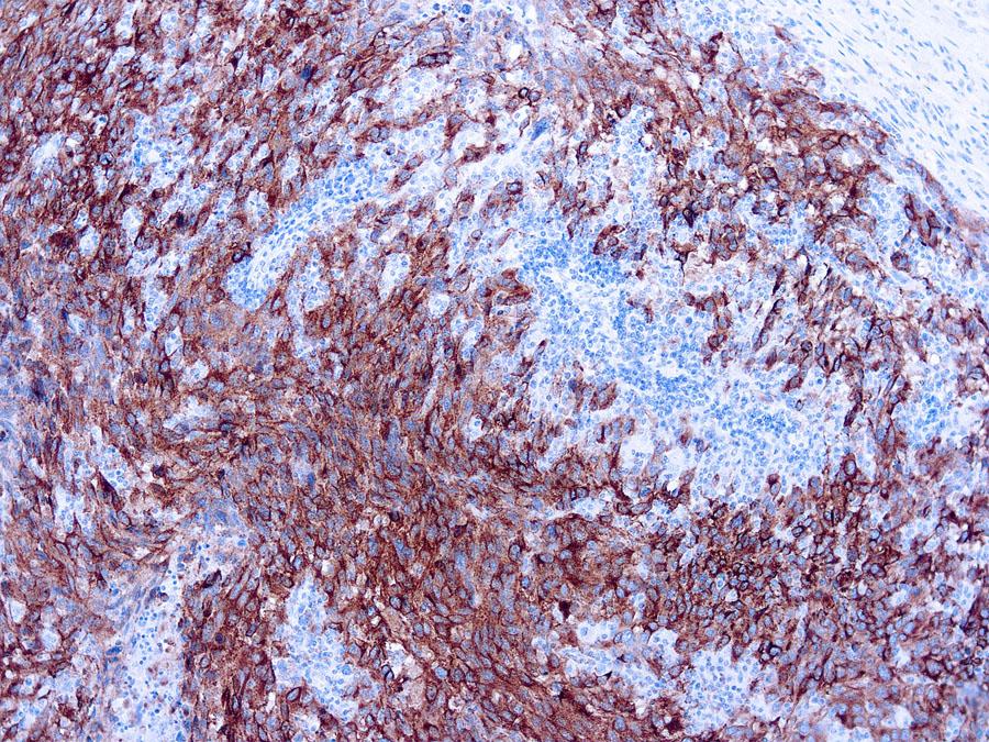
Figure 1 : Formalin fixed paraffin embedded human melanoma stained with Melanoma cocktail ( 10-11559).
Roll over image to zoom in

Shipping Info:
For estimated delivery dates, please contact us at [email protected]
Format : | T.C. Sup. |
Amount : | 0.5 ml |
Isotype : | HMB45 and A103,Mouse IgG1; T311, Mouse IgG2a |
Content : | This antibody is supplied as tissue culture supernatant containing sodium azide as preservative. |
Storage condition : | Store at 2-8°C. |
The HMB45 clone reacts with a neuraminidase-sensitive oligosaccharide side chain of a glycoconjugate present in immature melanosomes. The HMB45-reactive antigen is present in cutaneous melanocytes, prenatal and infantile retinal pigment epithelium and melanoma cells and is thought to be oncofetal in nature. This antibody has been shown to label the majority of melanomas. Clone A103 recognizes a protein of 20 kDa, identified as MART-1 (melanoma antigen recognized by T cells-1) or Melan-A. Melan-A is a useful addition to melanoma panels as it is apparently specific for melanocytic lesions. Studies have also shown that MART-1 is more sensitive than HMB45 when labeling metastatic melanomas. Tyrosinase is a key enzyme involved in the initial stages of melanin biosynthesis. Studies have shown tyrosinase to be a more sensitive marker when compared to HMB45 and MART-1. It has been shown to label a higher percentage of desmoplastic melanomas than HMB45. The combination of HMB45, MART-1 and tyrosinase make this triple antibody cocktail a first-order pan melanoma screener.
IHC : 1:25-1:50
For Research Use Only. Not for use in diagnostic/therapeutics procedures.
Subcellular location: | Endoplasmic reticulum membrane, Golgi apparatus, Golgi apparatus, Melanosome |
Post transnational modification: | Acylated. |
Tissue Specificity: | Expression is restricted to melanoma and melanocyte cell lines and retina. |
BioGrid: | 108604. 2 interactions. |
There are currently no product reviews
|