Mouse Monoclonal Antibody to VGFR3 (Clone: 44CT92.4.4)(Discontinued)

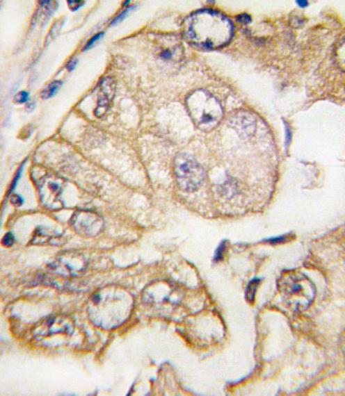
Figure 1: Formalin-fixed and paraffin-embedded human lung carcinoma tissue reacted with VGFR3 Monoclonal Antibody (10-6608) which was peroxidase-conjugated to the secondary antibody, followed by DAB staining. This data demonstrates the use of this antibody for immunohistochemistry; clinical relevance has not been evaluated.
Roll over image to zoom in

Shipping Info:
For estimated delivery dates, please contact us at [email protected]
Format : | Purified |
Amount : | 400 µl |
Isotype : | Mouse IgG1 |
Purification : | Protein G Chromatography |
Content : | Purified monoclonal antibody supplied in PBS with 0.09% (W/V) sodium azide. |
IHC-P~1:10~50|| WB~1:2000
For Research Use Only. Not for use in diagnostic/therapeutics procedures.
Subcellular location: | Secreted, Cytoplasm |
Post transnational modification: | Autophosphorylated on tyrosine residues upon ligand binding. Autophosphorylation occurs in trans, i.e. one subunit of the dimeric receptor phosphorylates tyrosine residues on the other subunit. Phosphorylation in response to H(2)O(2) is mediated by a process that requires SRC and PRKCD activity. Phosphorylation at Tyr-1068 is required for autophosphorylation at additional tyrosine residues. Phosphorylation at Tyr-1063 and Tyr-1337 is important for interaction with CRK and subsequent activation of MAPK8. Phosphorylation at Tyr-1230, Tyr-1231 and Tyr-1337 is important for interaction with GRB2 and subsequent activation of the AKT1 and MAPK1/ERK2 and/or MAPK3/ERK1 signaling pathways. In response to endothelial cell adhesion onto collagen, can also be phosphorylated in the absence of FLT4 kinase activity by SRC at Tyr-830, Tyr-833, Tyr-853, Tyr-1063, Tyr-1333, and Tyr-1337. |
Tissue Specificity: | Detected in endothelial cells (at protein level). Widely expressed. Detected in fetal spleen, lung and brain. Detected in adult liver, muscle, thymus, placenta, lung, testis, ovary, prostate, heart, and kidney. |
BioGrid: | 108612. 28 interactions. |
There are currently no product reviews
|