Anti-TIMP2 Polyclonal Antibody

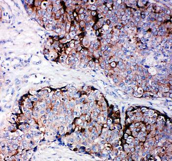
Figure 1: Anti-TIMP2 antibody(39-2063). IHC(P): Human Mammary Cancer Tissue.
Roll over image to zoom in
Shipping Info:
For estimated delivery dates, please contact us at [email protected]
Format : | Lyophilized |
Amount : | 100 μg/vial |
Isotype : | Rabbit IgG |
Purification : | Immunogen affinity purified. |
Content : | Each vial contains 5mg BSA, 0.9mg NaCl, 0.2mg Na2HPO4, 0.05mg Thimerosal, 0.05mg NaN3. Reconstitute : Add 0.2ml of distilled water will yield a concentration of 500ug/ml. |
Storage condition : | At -20˚C for one year. After reconstitution, at 4˚C for one month. It can also be aliquotted and stored frozen at -20˚C for a longer time. Avoid repeated freezing and thawing. |
Gene : | TIMP2 |
Gene ID : | 7077 |
Uniprot ID : | P16035 |
Alternative Name : | Metalloproteinase inhibitor 2; CSC-21K; Tissue inhibitor of metalloproteinases 2; TIMP-2; TIMP2 |
Immunogen Information : | A synthetic peptide corresponding to a sequence at the C-terminus of human TIMP2(205-220aa RGAAPPKQEFLDIEDP), identical to the related mouse and rat sequences. |
TIMP metallopeptidase inhibitor 2, a tissue inhibitor of metalloproteinases, also known as TIMP2, is a human gene, thought to be a metastasis suppressor. This gene is a member of the TIMP gene family. The proteins encoded by this gene family are natural inhibitors of the matrix metalloproteinases, a group of peptidases involved in degradation of the extracellular matrix. In addition to an inhibitory role against metalloproteinases, the encoded protein has a unique role among TIMP family members in its ability to directly suppress the proliferation of endothelial cells. As a result, the encoded protein may be critical to the maintenance of tissue homeostasis by suppressing the proliferation of quiescent tissues in response to angiogenic factors, and by inhibiting protease activity in tissues undergoing remodelling of the extracellular matrix.
Immunohistochemistry(Paraffin-embedded Section) : 0.5-1μg/ml; ELISA : 0.1-0.5μg/ml
For Research Use Only. Not for use in diagnostic/therapeutics procedures.
Subcellular location: | Secreted |
Post transnational modification: | The activity of TIMP2 is dependent on the presence of disulfide bonds. |
BioGrid: | 112933. 9 interactions. |
There are currently no product reviews
|