Polyclonal antibody to APAF-1

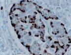
Fig:1 Formalin-fixed, paraffin-embedded tissue section of human pancreatic islets stained for Apaf 1 using 20-1003 at 1:2000. Hematoxylin-eosin counterstain.
Roll over image to zoom in
Shipping Info:
Order now and get it on Tuesday October 21, 2025
Same day delivery FREE on San Diego area orders placed by 1.00 PM
Format : | Sera |
Amount : | 50 µl |
Isotype : | Rabbit IgG |
Content : | 50 µl sera |
Storage condition : | Store the antibody at 4°C, stable for 6 months. For long-term storage, store at -20°C. Avoid repeated freeze and thaw cycles. |
Apaf 1 (apoptosis protease-activating factor-1) is a key regulator of the mitochondrial apoptotic pathway, being the central element of the multimeric apoptosome. The apoptosome consists of cytochrome c, procaspase-9 and seven Apaf 1 monomers, and is considered to be core apoptotic machinery that executes mitochondria-dependent apoptosis. Cytochrome c, normally compartmentalized in the mitochorndria, is released into the cytoplasm following apoptotic stimuli. Apaf 1 binds cytochrome c in the cytoplasm and in the presence of dATP/ATP forms the apoptosome. The apoptosome binds procaspase-9 and promotes its autocatalytic activation. Active caspase-9, in turn, activates downstream caspases including 3, 6, and 7 contributing to the proteolytic caspase activation cascade which leads to cell death.
WB: 1:1000-1:2000, IHC (paraffin): 1:1000-1:5000, IHC (frozen): Users should optimize, IP: 1:50-1:200
For Research Use Only. Not for use in diagnostic/therapeutics procedures.
Subcellular location: | Cytoplasm |
Tissue Specificity: | Ubiquitous. Highest levels of expression in adult spleen and peripheral blood leukocytes, and in fetal brain, kidney and lung. Isoform 1 is expressed in heart, kidney and liver. |
BioGrid: | 106814. 30 interactions. |
There are currently no product reviews
|