Polyclonal Antibody to beta-Catenin (p120)

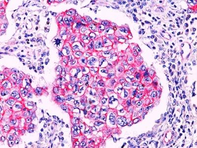
Formalin-fixed, paraffin-embedded human Breast Ductal Carcinoma stained with beta Catenin (p120) Polyclonal Antibody. Note membrane staining in ductal carcinoma.
Roll over image to zoom in
Shipping Info:
For estimated delivery dates, please contact us at [email protected]
Format : | Purified |
Amount : | 100 µg |
Isotype : | Rabbit IgG |
Purification : | Affinity Chromatography |
Content : | 100 µg in 500 µl PBS containing 0.05% BSA and 0.05% sodium azide. Sodium azide is highly toxic. |
Storage condition : | Store the antibody at 4°C; stable for 6 months. For long-term storage; store at -20°C. Avoid repeated freeze and thaw cycles. |
Flow Cytometry (0.5-1ug/million cells); Western Blot (1-2ug/ml); Immunohistochemistry (Formalin-fixed) (1-2ug/ml for 30 minutes at RT)(Staining of formalin-fixed tissues requires heating tissue sections in 1mM EDTA, pH 9.0, for 45 min at 95°C followed by cooling at RT for 20 minutes)
For Research Use Only. Not for use in diagnostic/therapeutics procedures.
Subcellular location: | Cytoplasm, Nucleus, Cytoplasm, Cell junction, Cell junction, Cell membrane, Cytoplasm, Cytoplasm, Cell junction, Cytoplasm |
Post transnational modification: | Deacetylated at Lys-49 by SIRT1. |
Tissue Specificity: | Expressed in several hair follicle cell types: basal and peripheral matrix cells, and cells of the outer and inner root sheaths. Expressed in colon. Present in cortical neurons (at protein level). Expressed in breast cancer tissues (at protein level) (PubMed:29367600). |
BioGrid: | 107880. 630 interactions. |
There are currently no product reviews
|