Polyclonal Antibody to IkB-beta (Phospho-Ser23)

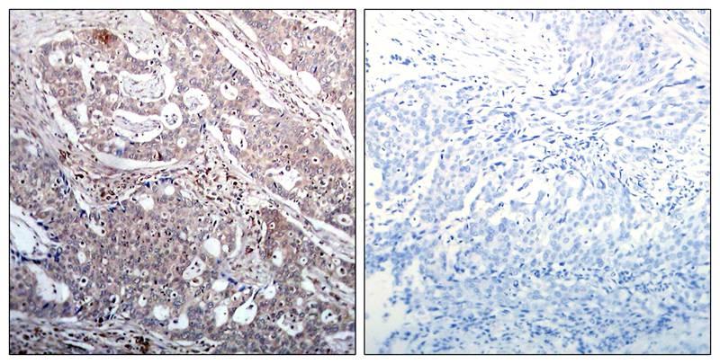
Figure 1: Immunohistochemical analysis of paraffin-embedded human breast carcinoma tissue using IkB-b(Phospho-Ser23) Antibody 35-1274 (left) or the same antibody preincubated with blocking peptide(right).
Roll over image to zoom in
Shipping Info:
For estimated delivery dates, please contact us at [email protected]
Format : | Purified |
Amount : | 100 µl |
Isotype : | Rabbit IgG |
Content : | Supplied at 1.0mg/mL in phosphate buffered saline (without Mg2+ and Ca2+), pH 7.4, 150mM NaCl, 0.02% sodium azide and 50% glycerol. |
Storage condition : | Store the antibody at 4°C, stable for 6 months. For long-term storage, store at -20°C. Avoid repeated freeze and thaw cycles. |
Inhibits NF-kappa-B by complexing with and trapping it in the cytoplasm. However, the unphosphorylated form resynthesized after cell stimulation is able to bind NF-kappa-B allowing its transport to the nucleus and protecting it to further IKBA-dependent inactivation. Association with inhibitor kappa B-interacting NKIRAS1 and NKIRAS2 prevent its phosphorylation rendering it more resistant to degradation, explaining its slower degradation. Shirane, M. et al. (1999) J Biol Chem 274, 28169-28174. DiDonato J, et al. (1996) Mol Cell Biol 16(4): 1295-304
Predicted MW: 48kd, Immunohistochemistry: 1:50~1:100
For Research Use Only. Not for use in diagnostic/therapeutics procedures.
Subcellular location: | Cytoplasm, Nucleus |
Post transnational modification: | Phosphorylated by RPS6KA1; followed by degradation. Interaction with NKIRAS1 and NKIRAS2 probably prevents phosphorylation. |
Tissue Specificity: | Expressed in all tissues examined. |
BioGrid: | 110860. 35 interactions. |
There are currently no product reviews
|