Polyclonal Antibody to MEF2A (Phospho-Ser408)
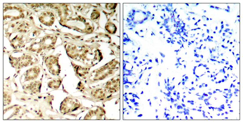
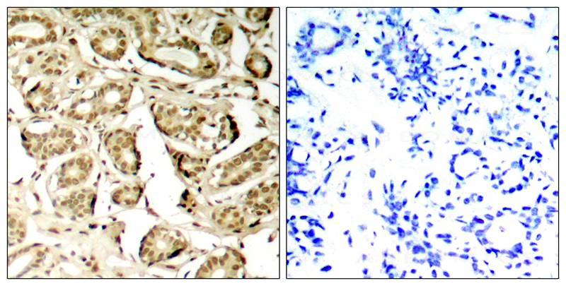
Figure 1: Immunohistochemical analysis of paraffin-embedded human breast carcinoma tissue using MEF2A(Phospho-Ser408) Antibody 35-1279 (left) or the same antibody preincubated with blocking peptide(right).
Roll over image to zoom in
Shipping Info:
For estimated delivery dates, please contact us at [email protected]
| Format : | Purified |
| Amount : | 100 µl |
| Isotype : | Rabbit IgG |
| Content : | Supplied at 1.0mg/mL in phosphate buffered saline (without Mg2+ and Ca2+), pH 7.4, 150mM NaCl, 0.02% sodium azide and 50% glycerol. |
| Storage condition : | Store the antibody at 4°C, stable for 6 months. For long-term storage, store at -20°C. Avoid repeated freeze and thaw cycles. |
The process of differentiation from mesodermal precursor cells to myoblasts has led to the discovery of a variety of tissue-specific factors that regulate muscle gene expression. The myogenic basic helix-loop-helix proteins, including myoD (MIM 159970), myogenin (MIM 159980), MYF5 (MIM 159990), and MRF4 (MIM 159991) are one class of identified factors. A second family of DNA binding regulatory proteins is the myocyte-specific enhancer factor-2 (MEF2) family. Each of these proteins binds to the MEF2 target DNA sequence present in the regulatory regions of many, if not all, muscle-specific genes. The MEF2 genes are members of the MADS gene family (named for the yeast mating type-specific transcription factor MCM1, the plant homeotic genes 'agamous' and 'deficiens' and the human serum response factor SRF (MIM 600589)), a family that also includes several homeotic genes and other transcription factors, all of which share a conserved DNA-binding domain
Predicted MW: 54kd, Immunohistochemistry: 1:50~1:100
For Research Use Only. Not for use in diagnostic/therapeutics procedures.
| Subcellular location: | Nucleus |
| Post transnational modification: | Proteolytically cleaved in cerebellar granule neurons on several sites by caspase 3 and caspase 7 following neurotoxicity. Preferentially cleaves the CDK5-mediated hyperphosphorylated form which leads to neuron apoptosis and transcriptional inactivation. |
| Tissue Specificity: | Isoform MEF2 and isoform MEFA are expressed only in skeletal and cardiac muscle and in the brain. Isoform RSRFC4 and isoform RSRFC9 are expressed in all tissues examined. |
| BioGrid: | 110369. 53 interactions. |
|
There are currently no product reviews
|















.png)














