Monoclonal Antibody to CD31 (Clone: C31.7)

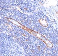
Fig: 1 Immunohistochemical analysis of CD31 in human Angiosarcoma using CD31 antibody (Clone: C31.7) at 1:100 dilution.
Roll over image to zoom in
Shipping Info:
For estimated delivery dates, please contact us at [email protected]
Format : | Purified |
Amount : | 100 µg |
Isotype : | Mouse IgG1, kappa |
Purification : | Protein G Chromatography |
Content : | 25 µg in 50 µl/100 µg in 200 µl PBS containing 0.05% BSA and 0.05% sodium azide. Sodium azide is highly toxic. |
Storage condition : | Store the antibody at 4°C; stable for 6 months. For long-term storage; store at -20°C. Avoid repeated freeze and thaw cycles. |
CD31 (PECAM-1, or platelet endothelial cell adhesion molecule-1) is a surface protein expressed by endothelial cells, monocytes, platelets, granulocytes, and lymphocyte subsets, and makes up a large portion of endothelial intercellular junctions. CD31 is a member of the immunoglobulin superfamily and is likely involved in leukocyte migration, angiogenesis, and integrin activation. Reports indicate that CD31 interacts with CD38 and is involved in cellular interactions resulting in wound healing and angiogenesis. Expression of CD31 on CD4+ T lymphocytes, helps to control T lymphocyte activation, because in the absence of CD31, T cells have a greater propensity to become activated, resulting in increased susceptibility to become apoptotic. This impact of CD31 loss becomes most pronounced during severe, inflammatory, and immunological stresses such as those caused by systemic Salmonella infection. This identifies a novel role for CD31 in regulating CD4 T homeostasis. This monoclonal antibody recognizes a 100kDa glycoprotein in endothelial cells and 130 kDa in platelets. This antibody reacts with endothelial cells in normal tissues and in benign and malignant proliferations. In cryostat sections and blood smears the antibody also stains megakaryocytes, platelets and occasionally plasma cells. It reacts weakly with mantle zone B cells, peripheral T cells, and neutrophils. Antibody to CD31 is of value in the study of benign and malignant vascular tumors. Staining for CD31 has also been used to measure angiogenesis, which reportedly predicts tumor recurrence.
Flow Cytometry (5ul per test per one million cells or 5ul per 100ul of whole blood), Immunofluorescence (1:50-1:100 for 30 minutes at RT)
For Research Use Only. Not for use in diagnostic/therapeutics procedures.
Subcellular location: | Cell junction |
Post transnational modification: | Palmitoylation by ZDHHC21 is necessary for cell surface expression in endothelial cells and enrichment in membrane rafts. |
Tissue Specificity: | Expressed on platelets and leukocytes and is primarily concentrated at the borders between endothelial cells (PubMed:18388311, PubMed:21464369). Expressed in human umbilical vein endothelial cells (HUVECs) (at protein level) (PubMed:19342684, PubMed:17580308). Expressed on neutrophils (at protein level) (PubMed:17580308). Isoform Long predominates in all tissues examined (PubMed:12433657). Isoform Delta12 is detected only in trachea (PubMed:12433657). Isoform Delta14-15 is only detected in lung (PubMed:12433657). Isoform Delta14 is detected in all tissues examined with the strongest expression in heart (PubMed:12433657). Isoform Delta15 is expressed in brain, testis, ovary, cell surface of platelets, human umbilical vein endothelial cells (HUVECs), Jurkat T-cell leukemia, human erythroleukemia (HEL) and U-937 histiocytic lymphoma cell lines (at protein level) (PubMed:12433657, PubMed:18388311). |
BioGrid: | 111201. 22 interactions. |
There are currently no product reviews
|