Polyclonal Antibody to SHP-1 (Phospho-Tyr536)

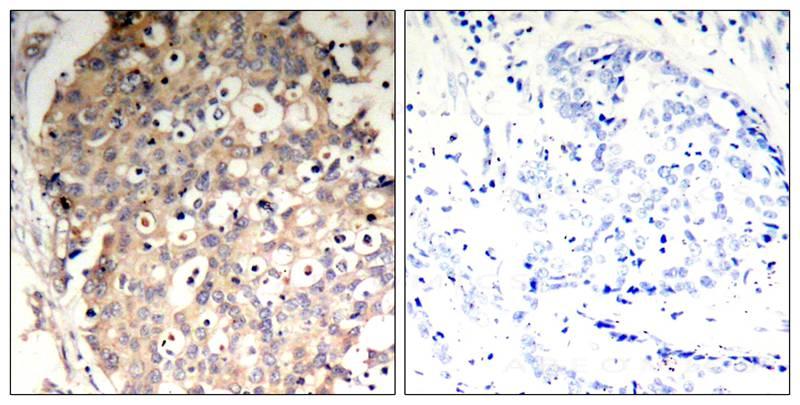
Figure 1: Immunohistochemical analysis of paraffin-embedded human breast carcinoma tissue using SHP-1(Phospho-Tyr536) Antibody 35-1286 (left) or the same antibody preincubated with blocking peptide(right).
Roll over image to zoom in
Shipping Info:
For estimated delivery dates, please contact us at [email protected]
Format : | Purified |
Amount : | 100 µl |
Isotype : | Rabbit IgG |
Content : | Supplied at 1.0mg/mL in phosphate buffered saline (without Mg2+ and Ca2+), pH 7.4, 150mM NaCl, 0.02% sodium azide and 50% glycerol. |
Storage condition : | Store the antibody at 4°C, stable for 6 months. For long-term storage, store at -20°C. Avoid repeated freeze and thaw cycles. |
Acts downstream of various receptor and cytoplasmic protein tyrosine kinases to participate in the signal transduction from the cell surface to the nucleus.
Predicted MW: 68kd, Immunohistochemistry: 1:50~1:100, Immunofluorescence: 1:100~1:200
For Research Use Only. Not for use in diagnostic/therapeutics procedures.
Subcellular location: | Cytoplasm, Nucleus |
Post transnational modification: | Phosphorylated on tyrosine residues. Binding of KITLG/SCF to KIT increases tyrosine phosphorylation (By similarity). Phosphorylation at Tyr-564 enhances phosphatase activity. |
Tissue Specificity: | Isoform 1 is expressed in hematopoietic cells. Isoform 2 is expressed in non-hematopoietic cells. |
BioGrid: | 111742. 127 interactions. |
There are currently no product reviews
|