Polyclonal Antibody to VWF

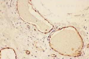
Figure-1: Immunohistochemical analysis of Anti-VWF in hLung Cancer Tissue Lysate using mVWF (39-2164).
Roll over image to zoom in
Shipping Info:
For estimated delivery dates, please contact us at [email protected]
Amount : | 100 μg/vial |
Isotype : | Rabbit IgG |
Purification : | Immunogen affinity purified. |
Content : | Each vial contains 5mg BSA, 0.9mg NaCl, 0.2mg Na2HPO4, 0.05mg NaN3 (In Lyophilized form). Add 0.2ml of distilled water will yield a concentration of 500 µg/ml. |
Storage condition : | At -20˚C for one year. After reconstitution, at 4˚C for one month. It can also be aliquotted and stored frozen at -20˚C for a longer time. Avoid repeated freezing and thawing. |
Gene : | VWF |
Gene ID : | 7450 |
Uniprot ID : | P04275 |
Alternative Name : | von Willebrand factor, von Willebrand antigen II, von Willebrand antigen 2 |
Immunogen Information : | E.coli-derived human VWF recombinant protein (Position: R2535-K2813). Human VWF shares 79% amino acid (aa) sequence identity with mouse VWF. |
Western blot : 0.1-0.5μg/ml; Immunohistochemistry(Paraffin-embedded Section) : 0.5-1μg/ml
For Research Use Only. Not for use in diagnostic/therapeutics procedures.
Subcellular location: | Secreted, Secreted |
Post transnational modification: | N- and O-glycosylated. |
Tissue Specificity: | Plasma. |
BioGrid: | 113289. 15 interactions. |
There are currently no product reviews
|