Rabbit Monoclonal Antibody to CD7(Clone :BSR9) (Discontinued)

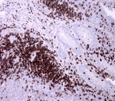
Figure-1: Appendix section has been stained using CD7 antibody (Clone: BSR9) with 1:250 dilution. CD7 positive T cells and intraepithelial T cells have strong membranous label.
Roll over image to zoom in

Shipping Info:
For estimated delivery dates, please contact us at [email protected]
Amount : | 0.5 ml |
Content : | TRIS with 0.03% sodium azide, pH7.2 |
Storage condition : | Store at 4°C |
Immunohistochemical Analysis :-1:250
For Research Use Only. Not for use in diagnostic/therapeutics procedures.
Subcellular location: | Membrane |
BioGrid: | 107362. 8 interactions. |
There are currently no product reviews
|