Recombinant Mouse Monoclonal Antibody to ACTH (Adrenocorticotrophic Hormone) (N-Terminal) (Pituitary Marker)(Clone : r57)

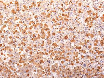
Figure 1: Formalin-fixed, paraffin-embedded human Pituitary Gland stained with ACTH Mouse Recombinant Monoclonal Antibody (r57).
Roll over image to zoom in
Shipping Info:
For estimated delivery dates, please contact us at [email protected]
Format : | Purified |
Amount : | 100 µg |
Isotype : | Mouse IgG1, kappa |
Purification : | Purified Ab with BSA and Azide at 200ug/ml |
Content : | 200ug/ml of recombinant MAb purified by Protein A/G. Prepared in 10mM PBS with 0.05% BSA & 0.05% azide. Also available WITHOUT BSA & azide at 1.0mg/ml. |
Storage condition : | Store the antibody at 4°C; stable for 6 months. For long-term storage; store at -20°C. Avoid repeated freeze and thaw cycles. |
Gene : | POMC |
Gene ID : | 5443 |
Uniprot ID : | P01189 |
Alternative Name : | Adrenocorticotropin, alpha or beta or gamma Melanocyte Stimulating Hormone (MSH) or Melanotropin, beta-Endorphin, beta or gamma Lipotropin (LPH), CLIP, Met Enkephalin, POC, POMC |
Immunogen Information : | N-terminal fragment of human ACTH conjugated to KLH |
ACTH (same as Corticotropin) is a 39 amino acid active peptide produced by the anterior pituitary. This MAb is specific to Synacthen (aa1-24 of ACTH); does not react with CLIP (aa17-39 of ACTH). POMC (pro-opiomelanocortin or corticotropin-lipotropin) is a 267 amino acid polypeptide hormone precursor that goes through extensive, tissue-specific posttranslational processing by convertases. POMC is cleaved into ten hormone chains named NPP, ACTH, alpha-MSH (Melanocyte Stimulating Hormone), beta-MSH, gamma-MSH, CLIP (corticotropin-like intermediary peptide), Lipotropin-beta, Lipotropin-gamma, beta-endorphin and Met-enkephalin. ACTH is also produced by cells of immune system (T-cells, B-cells, and macrophages) in response to stimuli associated with stress. Anti-ACTH is a useful marker in classification of pituitary tumors and the study of pituitary disease. It reacts with ACTH-producing cells (corticotrophs). It also may react with other tumors (e.g. some small cell carcinomas of the lung) causing paraneoplastic syndromes by secreting ACTH.
ELISA (For coating, order Ab without BSA); ,Immunohistochemistry (Formalin-fixed) (1-2µg/ml for 30 minutes at RT),(Staining of formalin-fixed tissues requires heating tissue sections in 10mM Tris with 1mM EDTA, pH 9.0, for 45 min at 95 °C followed by cooling at RT for 20 minutes),
For Research Use Only. Not for use in diagnostic/therapeutics procedures.
Subcellular location: | Secreted |
Post transnational modification: | O-glycosylated; reducing sugar is probably N-acetylgalactosamine. |
Tissue Specificity: | ACTH and MSH are produced by the pituitary gland. |
BioGrid: | 111439. 14 interactions. |
There are currently no product reviews
|