Recombinant Rabbit Monoclonal Antibody to alpha smooth muscle Actin (ACTA2) (Clone: RM253)(Discontinued)

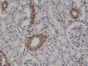
Figure 1: Immunohistochemical staining of formalin fixed and paraffin embedded human kidney tissue sections using Anti-alpha smooth muscle Actin Clone: RM253 at a 1:2500 dilution.
Roll over image to zoom in

Shipping Info:
For estimated delivery dates, please contact us at [email protected]
Format : | Purified |
Amount : | 100 µl |
Isotype : | Rabbit IgG |
Purification : | Protein A affinity purified from an animal origin-free culture supernatant |
Content : | Antibody in 50% Glycerol/PBS with 1% BSA and 0.09% sodium azide |
Storage condition : | Store at -20°C. Avoid repeated freeze and thaw cycles. |
Clone RM253 reacts to human and mouse alpha smooth muscle Actin (alpha-Actin-2). This antibody may also react to bovine or rat alpha smooth muscle Actin, as predicted by immunogen homology Immunohistochemistry (IHC): 1:1000-1:2500 dilution; Western Blot (WB): 1:1000-1:2000 dilution.
For Research Use Only. Not for use in diagnostic/therapeutics procedures.
Subcellular location: | Cytoplasm |
Post transnational modification: | (Microbial infection) Monomeric actin is cross-linked by V.cholerae toxins RtxA and VgrG1 in case of infection: bacterial toxins mediate the cross-link between Lys-52 of one monomer and Glu-272 of another actin monomer, resulting in formation of highly toxic actin oligomers that cause cell rounding (PubMed:19015515). The toxin can be highly efficient at very low concentrations by acting on formin homology family proteins: toxic actin oligomers bind with high affinity to formins and adversely affect both nucleation and elongation abilities of formins, causing their potent inhibition in both profilin-dependent and independent manners (PubMed:26228148). |
BioGrid: | 106574. 170 interactions. |
There are currently no product reviews
|