Recombinant Rabbit Monoclonal Antibody to CD15 / FUT4 (Reed-Sternberg Cell Marker)(Clone : FUT4/1478R)

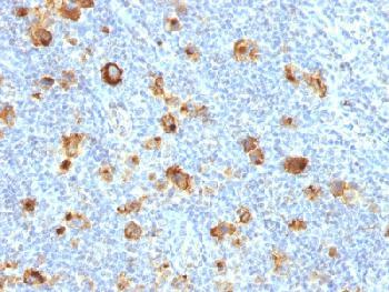
Figure 1: Formalin-fixed, paraffin-embedded human Hodgkin`s Lymphoma stained with CD15 Rabbit Recombinant Monoclonal Antibody (FUT4/1478R).
Roll over image to zoom in
Shipping Info:
For estimated delivery dates, please contact us at [email protected]
Format : | Purified |
Amount : | 100 µg |
Isotype : | Rabbit IgG |
Purification : | Purified Ab with BSA and Azide at 200ug/ml |
Content : | 200ug/ml of Ab purified by Protein A Column. Prepared in 10mM PBS with 0.05% BSA & 0.05% azide. Also available WITHOUT BSA & Azide at 1.0mg/ml. |
Storage condition : | Store the antibody at 4°C; stable for 6 months. For long-term storage; store at -20°C. Avoid repeated freeze and thaw cycles. |
Gene : | FUT4 |
Gene ID : | 2526 |
Uniprot ID : | P22083 |
Alternative Name : | 3 Fucosyl N Acetyl Lactosamine, Alpha (1,3) Fucosyltransferase, Alpha 13 fucosyltransferase FucT, ELAM Ligand Fucosyltransferase, ELFT, FCT3A, Fuc-TIV, Fucosyltransferase 4 Alpha 1 3 Fucosyltransferase Myeloid Specific, Fucosyltransferase 4, Galactoside 3 L Fucosyltransferase, Lewis X, LeX, SSEA1, Stage Specific Embryonic Antigen 1 |
Immunogen Information : | Purified human neutrophils |
Flow Cytometry (1-2µg/million cells); Immunofluorescence (1-2µg/ml); Immunohistochemistry (Formalin-fixed) (1-2µg/ml for 30 minutes at RT)(Staining of formalin-fixed tissues requires heating tissue sections in 1mM EDTA, pH 8.0, for 45 min at 95°C followed by cooling at RT for 20 minutes)
For Research Use Only. Not for use in diagnostic/therapeutics procedures.
Subcellular location: | Golgi apparatus |
BioGrid: | 108802. 5 interactions. |
There are currently no product reviews
|