Monoclonal Antibody to Cytokeratin 14 (KRT14) (Squamous Cell Marker)(Clone : KRT14/532)(Discontinued)

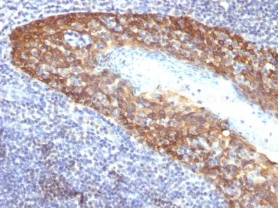
Formalin-fixed, paraffin-embedded human Tonsil stained with Cytokeratin 14 Monoclonal Antibody (KRT14/532).
Roll over image to zoom in

Shipping Info:
For estimated delivery dates, please contact us at [email protected]
Format : | Purified |
Amount : | 100 µg |
Isotype : | Mouse IgG3 |
Purification : | Affinity Chromatography |
Content : | 100 µg in 500 µl PBS containing 0.05% BSA and 0.05% sodium azide. Sodium azide is highly toxic. |
Storage condition : | Store the antibody at 4°C; stable for 6 months. For long-term storage; store at -20°C. Avoid repeated freeze and thaw cycles. |
Flow Cytometry (0.5-1µg/million cells in 0.1ml); Immunofluorescence (0.5-1µg/ml); Immunohistology (Formalin-fixed) (0.5-1.0µg/ml for 30 min at RT); (Staining of formalin-fixed tissues requires boiling tissue sections in 10mM Citrate buffer, pH 6.0, for 10-20 min followed by cooling at RT for 20 minutes); Optimal dilution for a specific application should be determined.
For Research Use Only. Not for use in diagnostic/therapeutics procedures.
Subcellular location: | Cytoplasm, Nucleus |
Post transnational modification: | Ubiquitinated by the BCR(KLHL24) E3 ubiquitin ligase complex. |
Tissue Specificity: | Detected in the basal layer, lowered within the more apically located layers specifically in the stratum spinosum, stratum granulosum but is not detected in stratum corneum. Strongly expressed in the outer root sheath of anagen follicles but not in the germinative matrix, inner root sheath or hair. Found in keratinocytes surrounding the club hair during telogen. |
BioGrid: | 110059. 43 interactions. |
There are currently no product reviews
|