Recombinant Rabbit Monoclonal Antibody to Histone H1 (Nuclear Marker)(Clone : HH1/1784R)

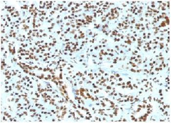
Figure 1: Formalin-fixed, paraffin-embedded Human Pancreas stained with Histone H1 Rabbit Recombinant Monoclonal Antibody (HH1/1784R).
Roll over image to zoom in
Shipping Info:
For estimated delivery dates, please contact us at [email protected]
Format : | Purified |
Amount : | 100 µg |
Isotype : | Rabbit IgG |
Purification : | Purified Ab with BSA and Azide at 200ug/ml |
Content : | 200ug/ml of Ab purified by Protein A. Prepared in 1mM PBS with 0.05% BSA & 0.05% azide. Also available WITHOUT BSA & azide at 1.0mg/ml. |
Storage condition : | Store the antibody at 4°C; stable for 6 months. For long-term storage; store at -20°C. Avoid repeated freeze and thaw cycles. |
Gene : | H1F0 |
Gene ID : | 3005 |
Uniprot ID : | P07305 |
Alternative Name : | H1(0), H1.1, H1.2, H1.3, H1.4, H1.5, H10, H1A, H1F0, H1F1, H1F2, H1F3, H1F4, H1F5, H1FNT, H1FOO, H1FT, H1FV, H1FX, H1t, H1T2, H1X, HANP1, His1, HisC, HIST1, HIST1H1A, HIST1H1B, HIST1H1C, HIST1H1D, HIST1H1E, HIST1H1T, Oocyte-specific histone H1, Testicular H1 histone |
Immunogen Information : | Recombinant full-length human Histone H1 protein |
Eukaryotic histones are basic and water-soluble nuclear proteins that form hetero-octameric nucleosome particles by wrapping 146 base pairs of DNA in a left-handed super-helical turn sequentially to form chromosomal fiber. Two molecules of each of the four core histones (H2A, H2B, H3, and H4) form the octamer; formed of two H2A-H2B dimers and two H3-H4 dimers, forming two nearly symmetrical halves by tertiary structure. Over 80% of nucleosomes contain the linker Histone H1, derived from an intronless gene that interacts with linker DNA between nucleosomes and mediates compaction into higher order chromatin. Histones are subject to posttranslational modification by enzymes primarily on their N-terminal tails, but also in their globular domains. Such modifications include methylation, citrullination, acetylation, phosphorylation, sumoylation, ubiquitination and ADP-ribosylation.
Western Blot (1-2µg/ml); Flow Cytometry (1-2µg/million cells); Immunofluorescence (1-2µg/ml); Immunohistochemistry (Formalin-fixed) (1-2µg/ml for 30 minutes at RT) (Staining of formalin-fixed tissues requires heating tissue sections in 10mM Tris with 1mM EDTA, pH 9.0, for 45 min at 95°C followed by cooling at RT for 20 minutes);
For Research Use Only. Not for use in diagnostic/therapeutics procedures.
Subcellular location: | Nucleus, Chromosome |
Post transnational modification: | ADP-ribosylated on Ser-104 in response to DNA damage. |
BioGrid: | 109260. 47 interactions. |
There are currently no product reviews
|