Anti-ACTH (Adrenocorticotrophic Hormone) (C-Terminal) (Pituitary Marker) Monoclonal Antibody(Clone: SPM501)
 
		
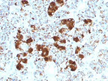
			Fig. 1: Formalin-fixed, paraffin-embedded human Pituitary stained with ACTH Monoclonal Antibody (SPM501).
Roll over image to zoom in
Shipping Info:
For estimated delivery dates, please contact us at [email protected]
| Amount : | 100 µg | 
| Isotype : | Mouse IgG1, kappa | 
| Content : | 200 µg/ml of Ab Purified from Bioreactor Concentrate by Protein A/G. Prepared in 10mM PBS with 0.05% BSA & 0.05% azide. Also available WITHOUT BSA & azide at 1.0mg/ml. | 
| Storage condition : | Antibody with azide - store at 2 to 8°C. Antibody without azide - store at -20 to -80°C. Antibody is stable for 24 months. Non-hazardous. | 
| Gene : | POMC | 
| Gene ID : | 5443 | 
| Uniprot ID : | P01189 | 
| Alternative Name : | Adrenocorticotropin; alpha or beta or gamma Melanocyte Stimulating Hormone (MSH) or Melanotropin; beta-Endorphin; beta or gamma Lipotropin (LPH); CLIP; Met Enkephalin; POC; POMC | 
| Immunogen Information : | Synthetic peptide corresponding to aa25-39 of human ACTH (NGAEDESAEAFPLEF) | 
ELISA (For coating, order Ab without BSA); Flow Cytometry (1-2ug/million cells); Immunofluorescence (1-2ug/ml); Immunohistochemistry (Formalin-fixed) (1-2ug/ml for 30 minutes at RT) (Staining of formalin-fixed tissues requires heating tissue sections in 10mM Tris with 1mM EDTA, pH 9.0, for 45 min at 95°C followed by cooling at RT for 20 minutes);
For Research Use Only. Not for use in diagnostic/therapeutics procedures.
| 
                    	There are currently no product reviews | 















.png)








 
					



