Anti-TNF-alpha (Tumor Necrosis Factor alpha) Monoclonal Antibody(Clone: MAb1)

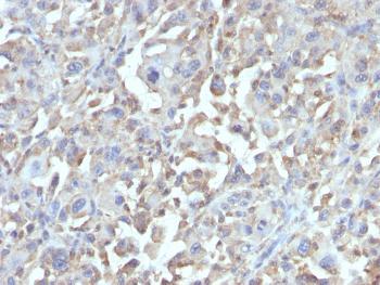
Fig. 1: Formalin-fixed, paraffin-embedded human histiocytoma stained with TNF alpha Mouse Monoclonal Antibody (MAb1).
Roll over image to zoom in
Shipping Info:
For estimated delivery dates, please contact us at [email protected]
Amount : | 100 µg |
Isotype : | Mouse IgM, kappa |
Content : | 200 µg/ml of Ab Purified from Bioreactor Concentrate by Protein A/G. Prepared in 10mM PBS with 0.05% BSA & 0.05% azide. |
Storage condition : | Antibody with azide - store at 2 to 8°C. Antibody without azide - store at -20 to -80°C. Antibody is stable for 24 months. Non-hazardous. |
Gene : | TNF |
Gene ID : | 7124 |
Uniprot ID : | P01375 |
Alternative Name : | APC1, Cachectin, Differentiation inducing factor (DIF), Macrophage cytotoxic factor (MCF), Necrosin, TNF alpha, TNF Macrophage Derived, TNF Monocyte Derived, TNF Superfamily Member 2, TNFA, TNFSF2, Tumor necrosis factor ligand superfamily member 2, Tumor Necrosis Factor Precursor |
Immunogen Information : | Recombinant human TNF-alpha |
This MAb recognizes human 17-26kDa protein, which is identified as cytokine TNF-alpha (Tumor Necrosis Factor-alpha). TNF-alpha can be expressed as a 17kDa free molecule, or as a 26kDa membrane protein. TNF-alpha is a protein secreted by lipopolysaccharide-stimulated macrophages, and causes tumor necrosis when injected into tumor bearing mice. TNF alpha is believed to mediate pathogenic shock and tissue injury associated with endotoxemia. TNF alpha exists as a multimer of two, three, or five non-covalently linked units, but shows a single 17kDa band following SDS PAGE under non-reducing conditions. TNF alpha is closely related to the 25kDa protein Tumor Necrosis Factor beta (lymphotoxin), sharing the same receptors and cellular actions. TNF alpha causes cytolysis of certain transformed cells, being synergistic with interferon gamma in its cytotoxicity. Althoµgh it has little effect on many cultured normal human cells, TNF alpha appears to be directly toxic to vascular endothelial cells. Other actions of TNF alpha include stimulating growth of human fibroblasts and other cell lines, activating polymorphonuclear neutrophils and osteoclasts, and induction of interleukin 1, prostaglandin E2 and collagenase production. TNF alpha is currently being evaluated in treatment of certain cancers and AIDS Related Complex.
Neutralization (Order Ab without BSA & Azide);,Flow Cytometry (0.5-1ug/million cells); Immunofluorescence (1-2ug/ml); ,
For Research Use Only. Not for use in diagnostic/therapeutics procedures.
There are currently no product reviews
|