Anti-Napsin A (Lung Adenocarcinoma Marker) Monoclonal Antibody(Clone: NAPSA/1238 + NAPSA/1239)

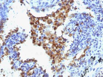
Fig. 1: Formalin-fixed, paraffin-embedded human Lung Adenocarcinoma stained with Napsin-A Monoclonal Antibody (NAPSA/1238 + NAPSA/1239).
Roll over image to zoom in
Shipping Info:
For estimated delivery dates, please contact us at [email protected]
Amount : | 100 µg |
Isotype : | Mouse IgG, kappa |
Content : | 200 µg/ml of Ab Purified from rabbit anti-serum by Protein A. Prepared in 10mM PBS with 0.05% BSA & 0.05% azide. Also available WITHOUT BSA at 1.0mg/ml. |
Storage condition : | Antibody with azide - store at 2 to 8°C. Antibody without azide - store at -20 to -80°C. Antibody is stable for 24 months. Non-hazardous. |
Gene : | NAPSA |
Gene ID : | 9476 |
Uniprot ID : | O96009 |
Alternative Name : | ASP4, Aspartyl protease 4, KAP, Kidney derived aspartic protease like protein (Kdap), NAP1, NAPA, Napsa, napsin A aspartic peptidase, Pronapsin A, SNAPA |
Immunogen Information : | Recombinant human Napsin-A protein fragment (aa189-299) (exact sequence is proprietary) |
Flow Cytometry (1-2ug/million cells); Immunofluorescence (1-2ug/ml); Western Blot (1-2ug/ml for 60 minutes at RT); Immunohistochemistry (Formalin-fixed) (1-2ug/ml for 30 minutes at RT)(Staining of formalin-fixed tissues requires heating tissue sections in 10mM Tris with 1mM EDTA, pH 9.0, for 45 min at 95°C followed by cooling at RT for 20 minutes);
For Research Use Only. Not for use in diagnostic/therapeutics procedures.
There are currently no product reviews
|