Anti-CD10 (Membrane Metalloendopeptidase) Monoclonal Antibody(Clone: MME/2579)
 
		
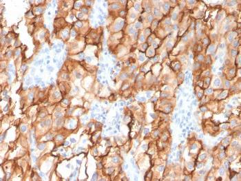
			Fig. 1: Formalin-fixed, paraffin-embedded human Renal Cell Carcinoma stained with CD10 Mouse Monoclonal Antibody (MME/2579).
Roll over image to zoom in
Shipping Info:
For estimated delivery dates, please contact us at [email protected]
| Amount : | 100 µg | 
| Isotype : | Mouse IgG1, kappa | 
| Content : | 200 µg/ml of Ab Purified from Bioreactor Concentrate by Protein A/G. Prepared in 10mM PBS with 0.05% BSA & 0.05% azide. Also available WITHOUT BSA & azide at 1.0mg/ml. | 
| Storage condition : | Antibody with azide - store at 2 to 8°C. Antibody without azide - store at -20 to -80°C. Antibody is stable for 24 months. Non-hazardous. | 
| Gene : | MME | 
| Gene ID : | 4311 | 
| Uniprot ID : | P08473 | 
| Alternative Name : | Atriopeptidase; Common acute lymphocytic leukemia antigen (CALLA); Enkephalinase (EPN); gp100; Membrane metalloendopeptidase (MME); Neprilysin; Neutral endopeptidase (NEP); Skin fibroblast elastase (SFE) | 
| Immunogen Information : | Recombinant human CD10 protein fragment (aa 583-740) (exact sequence is proprietary) | 
ELISA (Use Ab at 2-4ug/ml for coating) (Order Ab without BSA); Western Blot (1-2ug/ml); Immunohistochemistry (Formalin-fixed) (1-2ug/ml for 30 minutes at RT),(Staining of formalin-fixed tissues requires heating tissue sections in 10mM Tris with 1mM EDTA, pH 9.0, for 45 min at 95°C followed by cooling at RT for 20 minutes),
For Research Use Only. Not for use in diagnostic/therapeutics procedures.
| 
                    	There are currently no product reviews | 



















.png)







 
					



