Anti-CD15 / FUT4 (Reed-Sternberg Cell Marker) Monoclonal Antibody(Clone: FUT4/1478R)

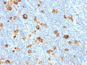
Fig. 1: Formalin-fixed, paraffin-embedded human Hodgkin's Lymphoma stained with CD15 Rabbit Recombinant Monoclonal Antibody (FUT4/1478R).
Roll over image to zoom in
Shipping Info:
For estimated delivery dates, please contact us at [email protected]
Amount : | 100 µg |
Isotype : | Rabbit IgG |
Content : | 200 µg/ml of Ab Purified by Protein A Column. Prepared in 10mM PBS with 0.05% BSA & 0.05% azide. Also available WITHOUT BSA & Azide at 1.0mg/ml. |
Storage condition : | Antibody with azide - store at 2 to 8°C. Antibody without azide - store at -20 to -80°C. Antibody is stable for 24 months. Non-hazardous. |
Gene : | FUT4 |
Gene ID : | 2526 |
Uniprot ID : | P22083 |
Alternative Name : | 3 Fucosyl N Acetyl Lactosamine; Alpha (1,3) Fucosyltransferase; Alpha 13 fucosyltransferase FucT; ELAM Ligand Fucosyltransferase; ELFT; FCT3A; Fuc-TIV; Fucosyltransferase 4 Alpha 1 3 Fucosyltransferase Myeloid Specific; Fucosyltransferase 4; Galactoside 3 L Fucosyltransferase; Lewis X; LeX; SSEA1; Stage Specific Embryonic Antigen 1 |
Immunogen Information : | Recombinant human full-length CD15 protein |
Flow Cytometry (1-2ug/million cells); Immunofluorescence (1-2ug/ml); Immunohistochemistry (Formalin-fixed) (1-2ug/ml for 30 minutes at RT)(Staining of formalin-fixed tissues requires heating tissue sections in 1mM EDTA, pH 8.0, for 45 min at 95°C followed by cooling at RT for 20 minutes)
For Research Use Only. Not for use in diagnostic/therapeutics procedures.
There are currently no product reviews
|