Anti-CD40 Ligand / CD154 / TRAP1 (Activation Marker of T-Lymphocytes) Monoclonal Antibody(Clone: CD40LG/2761) BSA/Azide Free

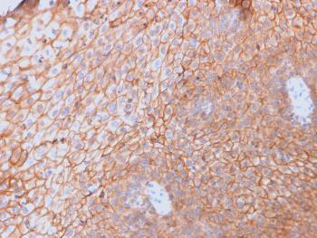
Fig. 1: Formalin-fixed, paraffin-embedded human Spleen stained with CD40L-Monospecific Mouse Monoclonal Antibody (CD40LG/2761).
Roll over image to zoom in
Shipping Info:
For estimated delivery dates, please contact us at [email protected]
Amount : | 100 µg |
Isotype : | Mouse IgG2b, kappa |
Content : | 1.0 mg/ml of Ab Purified from Bioreactor Concentrate by Protein A/G. Prepared in 10mM PBS WITHOUT BSA & azide. |
Storage condition : | Antibody with azide - store at 2 to 8°C. Antibody without azide - store at -20 to -80°C. Antibody is stable for 24 months. Non-hazardous. |
Gene : | CD40LG |
Gene ID : | 959 |
Uniprot ID : | P29965 |
Alternative Name : | CD154; gp39; hCD40L; HIGM1; IGM; IMD3; T B cell activating molecule; T BAM; T-cell antigen Gp39; TNF-related activation protein; TrAP; Tumor necrosis factor ligand superfamily member 5 (TNFSF5) |
Immunogen Information : | Recombinant fragment (around aa 108-261) of human CD40LG protein (exact sequence is proprietary) |
CD40LG expression is mainly confined to the CD4-positive-T-cell subset. Its expression is induced shortly after T-cell activation and represents an early activation marker of T lymphocytes. CD40 is constitutively expressed mainly on B cells, macrophages, and dendritic cells. The CD40-CD40L pathway has been shown to play multiple functional roles in the healthy immune system. It enhances the antigen-specific T-cell response throµgh the activation of dendritic cells and the induction of interleukin-12 production. For example, engagement of CD40 on endothelial cells by activated T cells expressing CD40L leads to upregulation of adhesion molecules such as ICAM-1, VCAM-1, and E-selectin. Activation of APC by CD40-CD40L interaction induces the production of inflammatory cytokines, chemokines, NO, and metalloproteinases. Interaction of CD4-positiveCD40LG-positiveT cells with CD40 on B cells leads to B-cell differentiation, proliferation, immunoglobulin (Ig) isotype switching, and formation of memory B cells.
ELISA (For coating, order antibody without BSA); Flow Cytometry (1-2ug/million cells); Immunofluorescence (1-2ug/ml); Immunohistochemistry (Formalin-fixed) (1-2ug/ml for 30 minutes at RT),(Staining of formalin-fixed tissues requires heating tissue sections in 10mM Tris with 1mM EDTA, pH 9.0, for 45 min at 95°C followed by cooling at RT for 20 minutes);
For Research Use Only. Not for use in diagnostic/therapeutics procedures.
There are currently no product reviews
|