Anti-CD9 (TSPAN29) (Motility-Related Protein-1) Monoclonal Antibody(Clone: CD9/2343)

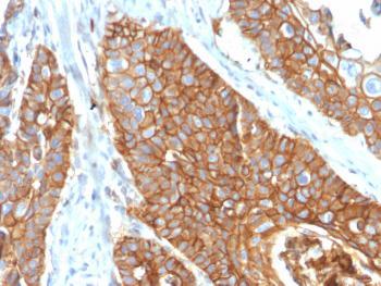
Fig. 1: Formalin-fixed, paraffin-embedded human Cervical Carcinoma stained with CD9 Mouse Monoclonal Antibody (CD9/2343).
Roll over image to zoom in
Shipping Info:
For estimated delivery dates, please contact us at [email protected]
Amount : | 100 µg |
Isotype : | Mouse IgG1, kappa |
Content : | 200 µg/ml of Ab Purified from Bioreactor Concentrate by Protein A/G. Prepared in 10mM PBS with 0.05% BSA & 0.05% azide. Also available WITHOUT BSA & azide at 1.0mg/ml. |
Storage condition : | Antibody with azide - store at 2 to 8°C. Antibody without azide - store at -20 to -80°C. Antibody is stable for 24 months. Non-hazardous. |
Gene : | CD9 |
Gene ID : | 928 |
Uniprot ID : | P21926 |
Alternative Name : | Tetraspanin-29 (TSPAN29); BA-2/p24 antigen; BA2; BTCC1; CD9; Cell growth-inhibiting gene 2 protein; DRAP27; GIG2; Leukocyte antigen MIC3; MIC3; Motility-related protein (MRP1); p24 |
Immunogen Information : | Recombinant full-length human CD9 protein |
Flow Cytometry (0.5-1ug/million cells); Immunohistochemistry (Formalin-fixed) (1-2ug/ml for 30 min at RT)(Staining of formalin-fixed tissues is enhanced by heating tissue sections in 10mM Tris with 1mM EDTA, pH 9.0 for 45 min at 95°C followed by cooling at RT for 20 minutes)
For Research Use Only. Not for use in diagnostic/therapeutics procedures.
There are currently no product reviews
|