Anti-Galectin-13 (GAL13) / Placental Protein 13 (PP13) Monoclonal Antibody(Clone: PP13/1165)

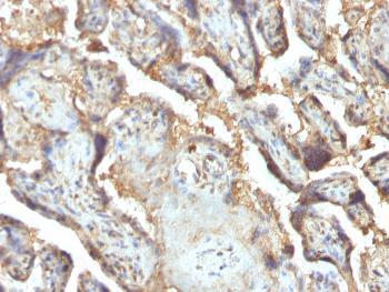
Fig. 1: Formalin-fixed, paraffin-embedded human Placenta stained with Galectin-13 / PP13 Monoclonal Antibody (PP13/1165)
Roll over image to zoom in
Shipping Info:
For estimated delivery dates, please contact us at [email protected]
Amount : | 100 µg |
Isotype : | Mouse IgG2b, kappa |
Content : | 200 µg/ml of Ab Purified from Bioreactor Concentrate by Protein A/G. Prepared in 10mM PBS with 0.05% BSA & 0.05% azide. Also available WITHOUT BSA & azide at 1.0mg/ml. |
Storage condition : | Antibody with azide - store at 2 to 8°C. Antibody without azide - store at -20 to -80°C. Antibody is stable for 24 months. Non-hazardous. |
Gene : | LGALS13 |
Gene ID : | 29124 |
Uniprot ID : | Q9UHV8 |
Alternative Name : | Gal-13; GAL13; Galactoside-binding soluble lectin 13; Galectin-13; Galectin13; Lectin galactoside binding soluble 13; LGALS13; PLAC8; Placental protein 13 (PP13); Placental tissue protein 13 |
Immunogen Information : | Recombinant human Galectin-13 protein fragment (aa23-134) |
ELISA (For coating, order Ab without BSA); Immunohistochemistry (Formalin-fixed) (1-2ug/ml for 30 minutes at RT)(Staining of formalin-fixed tissues requires heating tissue sections in 10mM Tris with 1mM EDTA, pH 9.0, for 45 min at 95°C followed by cooling at RT for 20 minutes);
For Research Use Only. Not for use in diagnostic/therapeutics procedures.
There are currently no product reviews
|