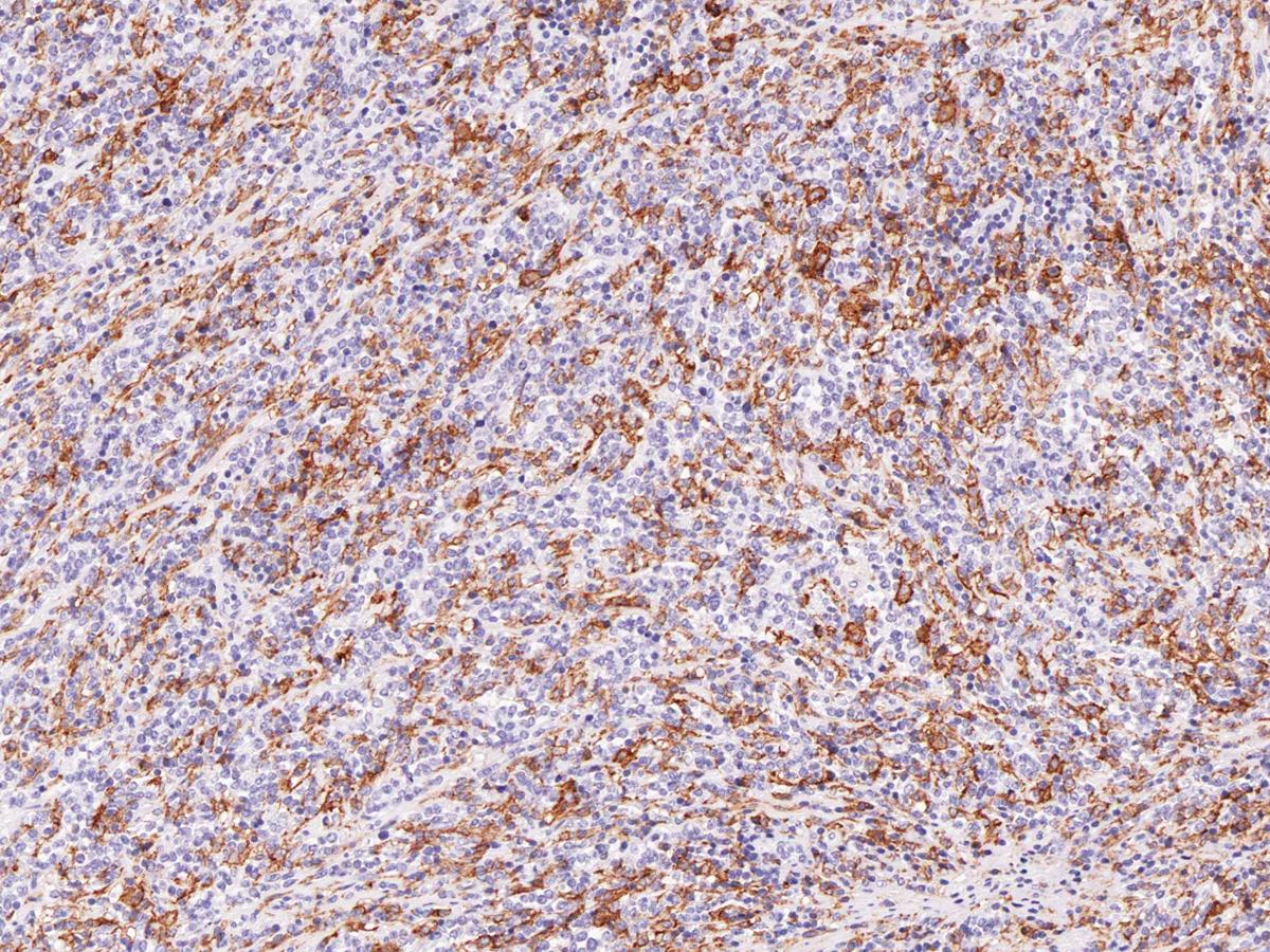
Anti-Hairy Cell Leukemia Monoclonal Antibody (Clone:IHC687)

Figure 1: Immunohistochemical analysis of Hairy Cell Leukemia (IHC687) on Lymphoma
Roll over image to zoom in
Shipping Info:
For estimated delivery dates, please contact us at [email protected]
Format : | Purified |
Amount : | 1 ml |
Purification : | Protein A/G Chromatography |
Storage condition : | Store at 2°C - 8°C. |
Anti-Hairy Cell Leukemia stains various B-cells in the follicular mantle zone and virtually all cases of hairy cell leukemia. It also stains some high grade B-cell lymphomas.
Recommended dilutions: Immunohistochemical analysis: 1:100 - 1:200. However, this need to be optimized based on the research applications.
For Research Use Only. Not for use in diagnostic/therapeutics procedures.
There are currently no product reviews
|