Monoclonal Antibody to Human TLR6 (Clone : TLR6.127)(Discontinued)

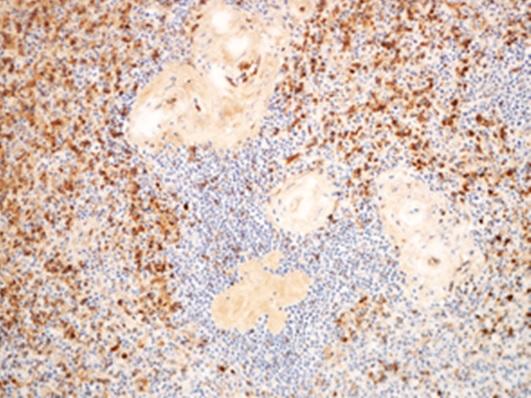
Figure-1: Immunohistochemical analysis of Human TLR6 antibody (Clone : TLR6.127) in human spleen tissue by using 1:50 dilution of anti-TLR6 antibody.
Roll over image to zoom in

Shipping Info:
For estimated delivery dates, please contact us at [email protected]
Format : | Purified |
Amount : | 500 µg |
Isotype : | Mouse IgG1 |
Content : | 0.5 mg, 0.2 µm filtered antibody solution in PBS, containing 0.1% bovine serum albumin. |
Storage condition : | Product should be stored at 4 °C. Under recommended storage conditions, product is stable for one year. |
The monoclonal antibody 10-3518 reacts with the human Toll-like receptor 6 (TLR6). Toll-like receptors (TLRs) are highly conserved throughout evolution. They play an essential role in initiating the innate immune response against infectious pathogens. In Drosophila, toll is required for anti-fungal response, while the related 18-wheeler is involved in antibacterial defence. In humans, ten members of the TLR family protein (TLR1 to TLR10) have been identified. TLRs recognize a wide variety of pathogen-associated molecular patterns from bacteria, viruses, and fungi and elicit a wide array of antimicrobial responses. Among TLRs, TLR6 is expressed on the cell surface of monocytes, monocyte-derived immature dendritic cells (iDCs), and neutrophils, but not on B, T or natural killer (NK) cells. Human TLR6 is a 796-aa type l transmembrane protein that is 74% identical with mouse. It contains an N-terminal signal peptide, 19 tandemly repeated extracellular leucine-rich motifs, and a cytoplasmic domain called Toll/IL-1R homology domain, as seen in other TLRs. TLR6 function has been studied mainly in mouse cells. Constitutive expression of TLR6 activates both the nuclear factor kappa-B (NFK-B) and Jun N-terminal kinase (JNK) pathways. Studies in human cells revealed that TLR6 and TLR2 colocalize at the plasma membrane of monocytes. Human TLR6 recognizes diacylated lipoprotein and peptidoglycan at the cell surface cooperatively with human TLR2. Thus, coexpression of TLR2 and TLR6 at the cell surface is crucial for recognition of diacylated lipopeptide and peptideoglycan and subsequent cellular activation in human cells.
Immunohistochemical analysis- 1:50-1:100 dilution
For Research Use Only. Not for use in diagnostic/therapeutics procedures.
Subcellular location: | Cell membrane, Cytoplasmic vesicle, Membrane raft, Golgi apparatus |
Tissue Specificity: | Detected in monocytes, CD11c+ immature dendritic cells, plasmacytoid pre-dendritic cells and dermal microvessel endothelial cells. |
BioGrid: | 115616. 3 interactions. |
There are currently no product reviews
|