Anti-Perforin (Pore Forming Protein) (Apoptosis Marker) Monoclonal Antibody(Clone: SPM434)

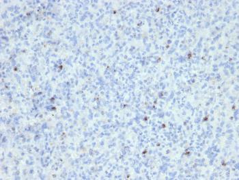
Fig. 1: Formalin-fixed, paraffin-embedded human Spleen stained with Perforin Mouse Monoclonal Antibody (SPM434).
Roll over image to zoom in
Shipping Info:
For estimated delivery dates, please contact us at [email protected]
Amount : | 100 µg |
Isotype : | Mouse IgG, kappa |
Content : | 200 µg/ml of Ab Purified from Bioreactor Concentrate by Protein A/G. Prepared in 10mM PBS with 0.05% BSA & 0.05% azide. Also available WITHOUT BSA & azide at 1.0mg/ml. |
Storage condition : | Antibody with azide - store at 2 to 8°C. Antibody without azide - store at -20 to -80°C. Antibody is stable for 24 months. Non-hazardous. |
Gene : | PRF1 |
Gene ID : | 5551 |
Uniprot ID : | P14222 |
Alternative Name : | Cytolysin; FLH2; HPLH2; Lymphocyte pore-forming protein; PRF1 (pore forming protein 1); Perforin-1; PFP; PGFL; PIGF; PIGF-2; PLGF |
Immunogen Information : | Recombinant human Perforin protein fragment (around aa 413-552) (exact sequence is proprietary) |
Perforin is a pore-forming protein that leads to osmotic lysis of the target cells and subsequently enables granzymes to enter the target cells and activate apoptosis. Perforin has structural and functional similarities to complement component 9 (C9). Like C9, this protein creates transmembrane tubules and is capable of lysing non-specifically a variety of target cells. It is one of the main cytolytic proteins of cytolytic granules, and is known to be a key effector molecule for T-cell- and natural killer-cell-mediated cytolysis. Defects in this gene cause familial hemophagocytic lymphohistiocytosis type 2 (HPLH2), a rare and lethal autosomal recessive disorder of early childhood. The expression of perforin is reportedly upregulated in activated CD8+ T-cells, natural killer cells and some CD4+ T-cells.
ELISA (For coating, order Ab without BSA);
For Research Use Only. Not for use in diagnostic/therapeutics procedures.
There are currently no product reviews
|