Anti-StAR (Steroidogenic Acute Regulator) (Leydig Cell Marker) Monoclonal Antibody(Clone: STAR/2154)
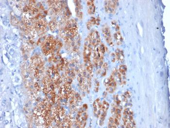
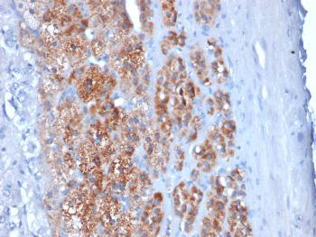
Fig. 1: Formalin-fixed, paraffin-embedded human Adrenal Gland stained with StAR Mouse Monoclonal Antibody (STAR/2154).
Roll over image to zoom in
Shipping Info:
For estimated delivery dates, please contact us at [email protected]
| Amount : | 100 µg |
| Isotype : | Mouse IgG1, kappa |
| Content : | 200 µg/ml of Ab Purified from Bioreactor Concentrate by Protein A/G. Prepared in 10mM PBS with 0.05% BSA & 0.05% azide. Also available WITHOUT BSA & azide at 1.0mg/ml. |
| Storage condition : | Antibody with azide - store at 2 to 8°C. Antibody without azide - store at -20 to -80°C. Antibody is stable for 24 months. Non-hazardous. |
| Gene : | STAR |
| Gene ID : | 6770 |
| Uniprot ID : | P49675 |
| Alternative Name : | Cholesterol trafficker; Luteinizing hormone induced protein; Mitochondrial steroid acute regulatory protein; StAR; StAR related lipid transfer (START) domain containing 1; StARD1; START domain-containing protein 1; Steroid acute regulatory protein; Steroidogenic acute regulator (STAR); Steroidogenic acute regulatory protein mitochondrial |
| Immunogen Information : | Recombinant fragment (around aa 39-108) of human STAR protein (exact sequence is proprietary) |
Immunohistochemistry (Formalin-fixed) (1-2ug/ml for 30 minutes at RT),(Staining of formalin-fixed tissues requires heating tissue sections in 10mM Tris with 1mM EDTA, pH 9.0, for 45 min at 95 °C followed by cooling at RT for 20 minutes),
For Research Use Only. Not for use in diagnostic/therapeutics procedures.
|
There are currently no product reviews
|

























.png)














