Anti-Cytokeratin 19 Monoclonal Antibody (Clone:A53-B/A2)

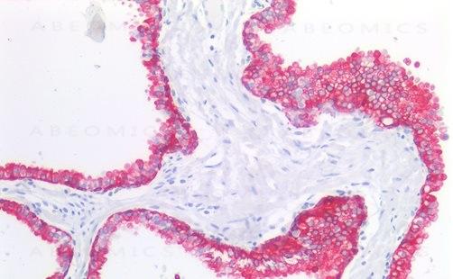
Figure-1: Immunohistochemistry staining of human prostate (paraffin sections) using anti-cytokeratin 19 (A53-B/A2).
Roll over image to zoom in
Shipping Info:
For estimated delivery dates, please contact us at [email protected]
Format : | Purified |
Amount : | 0.1 mg |
Isotype : | Mouse IgG2a |
Purification : | Purified by protein-A affinity chromatography |
Storage condition : | Store at 2-8°C. Do not freeze. |
Cytokeratins are a subfamily of intermediate filaments and characterized by remarkable biochemical diversity. Cytokeratins are represented in epithelial tissues by at least 20 different polypeptides, molecular weight between 40 kDa and 68 kDa. The individual cytokeratin polypeptides are designated 1 to 20 and divided into the type I (acidic cytokeratins 9-20) and type II (basic to neutral cytokeratins 1-8) families.
Flow cytometry: Recommended dilution: 1-5 μg/ml. Intracellular staining.
Immunohistochemistry: Recommended dilution: 5-10 μg/ml.
Western blotting: Recommended dilution: 1-2 μg/ml, positive control: MCF-7, BA-17, HT-29 cells.
For Research Use Only. Not for use in diagnostic/therapeutics procedures.
Tissue Specificity: | Expressed in a defined zone of basal keratinocytes in the deep outer root sheath of hair follicles. Also observed in sweat gland and mammary gland ductal and secretory cells, bile ducts, gastrointestinal tract, bladder urothelium, oral epithelia, esophagus, ectocervical epithelium (at protein level). Expressed in epidermal basal cells, in nipple epidermis and a defined region of the hair follicle. Also seen in a subset of vascular wall cells in both the veins and artery of human umbilical cord, and in umbilical cord vascular smooth muscle. Observed in muscle fibers accumulating in the costameres of myoplasm at the sarcolemma in structures that contain dystrophin and spectrin. |
BioGrid: | 110078. 63 interactions. |
There are currently no product reviews
|