Anti-NF200 Monoclonal Antibody (Clone: N52)

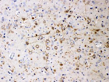
Figure 1: Anti-NF200 antibody(monoclonal) 39-1076. IHC(P): Rat Brain Tissue.
Roll over image to zoom in
Shipping Info:
For estimated delivery dates, please contact us at [email protected]
Amount : | 100 μg/vial |
Isotype : | Mouse IgG1 |
Purification : | Ascites |
Content : | Mouse ascites fluid, 1.2% sodium acetate, 2mg BSA, with 0.01mg NaN3 as preservative. Reconstitute : Add 1ml of PBS buffer will yield a concentration of 100ug/ml. |
Storage condition : | At -20˚C for one year. After reconstitution, at 4˚C for one month. It can also be aliquotted and stored frozen at -20˚C for a longer time. Avoid repeated freezing and thawing. |
Gene : | Nefh |
Uniprot ID : | P16884 |
Alternative Name : | Neurofilament heavy polypeptide; NF-H; 200 kDa neurofilament protein; Neurofilament triplet H protein; Nefh; Nfh |
Immunogen Information : | C-terminal segment of enzymatically dephosphorylated pig Neurofilament 200. |
Neurofilaments are composed of 3 neuron-specific proteins with apparent molecular masses of 68 kD(NFL), 125 kD(NFM), and 200 kD(NFH) on SDS-gel electrophoresis. Genomic clones for the largest human neurofilament protein(NF-H) were isolated, the intron/exon boundaries mapped and the entire protein-coding regions(exons) sequenced. mutations in neurofilaments have been linked to some forms of Charcot-Marie-Tooth disease(CMT).
Western blot : 0.5ml; Immunohistochemistry(Paraffin-embedded Section) : 1-2μg/ml; Immunohistochemistry(Frozen Section) : 1-2μg/ml
For Research Use Only. Not for use in diagnostic/therapeutics procedures.
Subcellular location: | Cytoplasm |
Post transnational modification: | Phosphorylated in the head and rod regions by the PKC kinase PKN1, leading to the inhibition of polymerization. |
There are currently no product reviews
|