Monoclonal Antibody to Bcl-2 (Apoptosis & Follicular Lymphoma Marker)(Clone : BCL2/782)

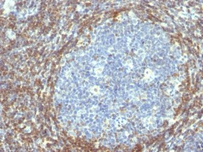
Formalin-fixed, paraffin-embedded human Tonsil stained with Bcl-2 Monoclonal Antibody (BCL2/782).
Roll over image to zoom in
Shipping Info:
For estimated delivery dates, please contact us at [email protected]
Format : | Purified |
Amount : | 100 µg |
Isotype : | Mouse IgG1, kappa |
Purification : | Affinity Chromatography |
Content : | 100 µg in 500 µl PBS containing 0.05% BSA and 0.05% sodium azide. Sodium azide is highly toxic. |
Storage condition : | Store the antibody at 4°C; stable for 6 months. For long-term storage; store at -20°C. Avoid repeated freeze and thaw cycles. |
Western Blot (1-2ug/ml); Immunohistochemistry (Formalin-fixed) (1-2ug/ml for 30 minutes at RT)(Staining of formalin-fixed tissues requires heating tissue sections in 1mM EDTA, pH 7.5-8.5, for 45 min at 95°C followed by cooling at RT for 20 minutes)
For Research Use Only. Not for use in diagnostic/therapeutics procedures.
Subcellular location: | Mitochondrion outer membrane, Nucleus membrane, Endoplasmic reticulum membrane |
Post transnational modification: | Monoubiquitinated by PRKN, leading to increase its stability. Ubiquitinated by SCF(FBXO10), leading to its degradation by the proteasome. |
Tissue Specificity: | Expressed in a variety of tissues. |
BioGrid: | 107068. 102 interactions. |
There are currently no product reviews
|