Monoclonal Antibody to c-erbB-2/Her2 (Clone: ABM45F5)

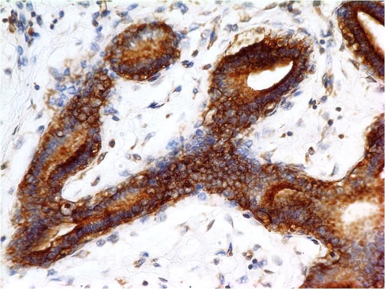
Fig-1: Immunohistochemical analysis of c-erbB2 in human Breast cancer tissue using c-erbB2 antibody (Clone: ABM45F5) at 5 µg/ml.
Roll over image to zoom in
Shipping Info:
Order now and get it on Thursday October 16, 2025
Same day delivery FREE on San Diego area orders placed by 1.00 PM
Format : | Purified |
Amount : | 100 µg |
Isotype : | Mouse IgG2b Kappa |
Purification : | Protein G Chromatography |
Content : | 25 µg in 50 µl/100 µg in 200 µl PBS containing 0.05% BSA and 0.05% sodium azide. Sodium azide is highly toxic. |
Storage condition : | Store the antibody at 4°C; stable for 6 months. For long-term storage; store at -20°C. Avoid repeated freeze and thaw cycles. |
HER2, a known proto-oncogene, is located at the long arm of human chromosome 17 (17q12), encoding a type 1 tyrosine kinase growth factor receptor and the role of HER2 in the development of numerous types of human cancer. HER2 is a transmembrane receptor comprising an extracellular domain (ECD), a single transmembrane domain, and an intracellular domain (ICD) with tyrosine-kinase activity.The high-expression and amplification of C-erbB-2 and its protein products (P185) are found in a wide variety of tumors. HER2 is overexpressed in 10% to 35% of gastric and gastroesophageal junction (GEJ) adenocarcinomas.
Immunohistochemical analysis: 5-10 µg/ml
For Research Use Only. Not for use in diagnostic/therapeutics procedures.
Subcellular location: | Cytoplasm, Nucleus |
Post transnational modification: | Autophosphorylated. Autophosphorylation occurs in trans, i.e. one subunit of the dimeric receptor phosphorylates tyrosine residues on the other subunit (Probable). Ligand-binding increases phosphorylation on tyrosine residues (PubMed:27134172). Signaling via SEMA4C promotes phosphorylation at Tyr-1248 (PubMed:17554007). Dephosphorylated by PTPN12 (PubMed:27134172). |
Tissue Specificity: | Expressed in a variety of tumor tissues including primary breast tumors and tumors from small bowel, esophagus, kidney and mouth. |
BioGrid: | 108376. 234 interactions. |
There are currently no product reviews
|