Monoclonal Antibody to Ep-CAM / CD326 (Rat) (Epithelial Marker)(Clone : Epcam/1159)

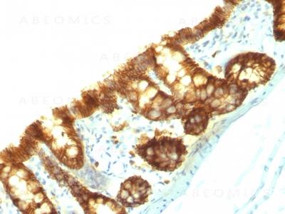
Formalin-fixed, paraffin-embedded Rat Colon stained with Ep-CAM Monoclonal Antibody (Epcam/1159).
Roll over image to zoom in
Shipping Info:
For estimated delivery dates, please contact us at [email protected]
Format : | Bioreactor Concentrate |
Amount : | 0.5 ml |
Isotype : | Mouse IgG1, kappa |
Content : | Bioreactor Concentrate |
Storage condition : | Store the antibody at 4°C; stable for 6 months. For long-term storage; store at -20°C. Avoid repeated freeze and thaw cycles. |
Epitopes of Epcam/1158 and Epcam/1159 monoclonal antibodies are different. EGP40 is a 40-43kDa transmembrane epithelial glycoprotein, also identified as epithelial specific antigen (ESA), or epithelial cellular adhesion molecule (Ep-CAM). It is expressed on baso-lateral cell surface in most simple epithelia and a vast majority of carcinomas.
Immunohistochemistry (Formalin-fixed) (1:50-1:100; 30 min at RT)(Staining of formalin-fixed tissues requires heating tissue sections in 10mM Tris with 1mM EDTA, pH 9.0, for 45 min at 95°C followed by cooling at RT for 20 minutes);
For Research Use Only. Not for use in diagnostic/therapeutics procedures.
Subcellular location: | Lateral cell membrane, Cell junction |
Post transnational modification: | Glycosylation at Asn-198 is crucial for protein stability. |
There are currently no product reviews
|