Monoclonal Antibody to CD54 / ICAM-1(Clone : W-CAM-1; same as Wehi-CAM-1 or 1H4)

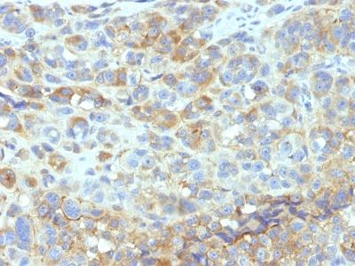
Formalin-fixed, paraffin-embedded human Melanoma stained with CD54 Monoclonal Antibody (W-CAM-1).
Roll over image to zoom in
Shipping Info:
For estimated delivery dates, please contact us at [email protected]
Format : | Purified |
Amount : | 100 µg |
Isotype : | Mouse IgG2b, kappa |
Purification : | Affinity Chromatography |
Content : | 100 µg in 500 µl PBS containing 0.05% BSA and 0.05% sodium azide. Sodium azide is highly toxic. |
Storage condition : | Store the antibody at 4°C; stable for 6 months. For long-term storage; store at -20°C. Avoid repeated freeze and thaw cycles. |
Functional Studies (Order Ab without BSA & Azide); Flow Cytometry (1-2ug/million cells); Immunohistochemistry (Formalin-fixed) (1-2ug/ml for 30 minutes at RT)(Staining of formalin-fixed tissues requires heating tissue sections in 10mM Tris with 1mM EDTA, pH 9.0, for 45 min at 95°C followed by cooling at RT for 20 minutes)Immunofluorescence (1-2ug/ml);
For Research Use Only. Not for use in diagnostic/therapeutics procedures.
Subcellular location: | Membrane |
Post transnational modification: | Monoubiquitinated, which is promoted by MARCH9 and leads to endocytosis. |
BioGrid: | 109610. 178 interactions. |
There are currently no product reviews
|